[Ortho] Stiff knee

Maxim Agalakov orthoforum на weborto.net
Пт Фев 13 23:20:41 YEKT 2009


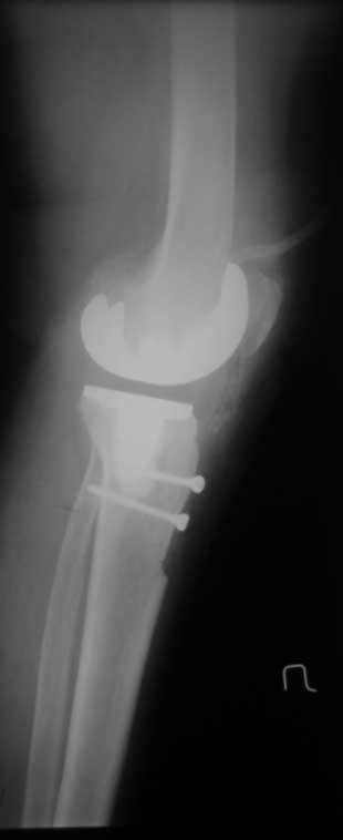
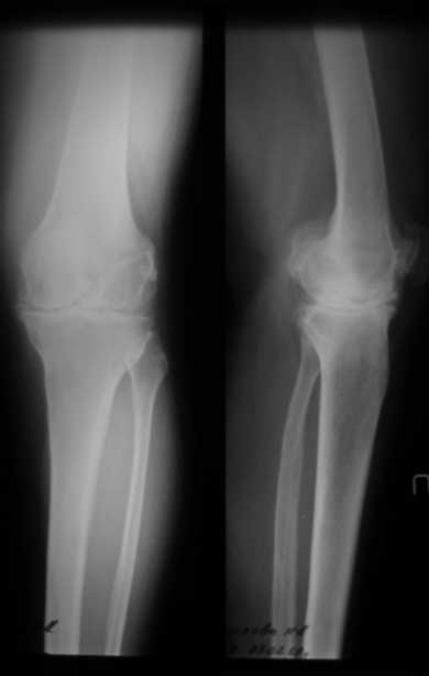
снимки
Maxim Agalakov
----------- следущая часть -----------
Вложение не в текстовом формате было извлечено…
Имя     : профиль_после.jpg
Тип     : image/jpeg
Размер  : 6547 байтов
Описание: отсутствует
Url     : http://weborto.net:8080/pipermail/ortho/attachments/20090213/57207973/attachment-0003.jpg 
----------- следущая часть -----------
Вложение не в текстовом формате было извлечено…
Имя     : фас_до.jpg
Тип     : image/jpeg
Размер  : 8957 байтов
Описание: отсутствует
Url     : http://weborto.net:8080/pipermail/ortho/attachments/20090213/57207973/attachment-0004.jpg 
----------- следущая часть -----------
Вложение не в текстовом формате было извлечено…
Имя     : фас_после.jpg
Тип     : image/jpeg
Размер  : 5372 байтов
Описание: отсутствует
Url     : http://weborto.net:8080/pipermail/ortho/attachments/20090213/57207973/attachment-0005.jpg 


Подробная информация о списке рассылки Ortho