[Ortho] Искривление и/м штифта

Abdurashid orthoforum на weborto.net
Вс Фев 15 02:24:07 YEKT 2009


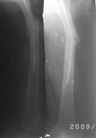
     12.02.09г б-ная оперирована: з/остеоклазия (без особого труда-
   видимо тугой ложный сустав) коррекция деформации, удаление штифта
   из надвертельной обл, рассверление канала гибкими развертками,
   реостеосинтез блокируюшим гвоздем Д-11мм.

      Но я впервые почувствовал такую сильно ОСТЕОПОРОТИЧНУЮ кость, что
   блокируюшие винты проваливаются внутрь кости, что винты можно
   ввести без сверления кости, и что винты провинчиваются холостую,
   т.е. не стабильно.
   Уважаемые коллеги! Что теперь делать? 
 1. Лечение остеопороза. 
    Я читал  перевод статьи Laura Gehrig, Joseph Lane and Mary I. O'Connor J. Bone Joint Surg Am. 2008;90:1362-1374.
Osteoporosis: Management and Treatment Strategies for Orthopaedic Surgeons

Лекция из цикла Американской Академии Хирургов-ортопедов (AAOS).

Перевод – Анна Шведова, Середа Андрей.
    Может быть еще  имеются практические советы?
 2.Когда можно разрешить нагрузку? может, винты будут прорезываться при ранней нагрузке?
       С уважением Абдурашид.
   P.S. Снимки не качественные, извиняюсь! последний снимок ЭРГА, два снимка объединил.
Abdurashid
----------- УМЕДХЭБС ЮБУФШ -----------
Вложение не в текстовом формате было извлечено…
Имя     : PICT0018.JPG
Тип     : image/jpeg
Размер  : 8268 байтов
Описание: отсутствует
Url     : http://weborto.net:8080/pipermail/ortho/attachments/20090215/1886afbc/attachment-0006.jpeg 
----------- УМЕДХЭБС ЮБУФШ -----------
Вложение не в текстовом формате было извлечено…
Имя     : PICT0046.JPG
Тип     : image/jpeg
Размер  : 2782 байтов
Описание: отсутствует
Url     : http://weborto.net:8080/pipermail/ortho/attachments/20090215/1886afbc/attachment-0007.jpeg 
----------- УМЕДХЭБС ЮБУФШ -----------
Вложение не в текстовом формате было извлечено…
Имя     : PICT0047.JPG
Тип     : image/jpeg
Размер  : 4354 байтов
Описание: отсутствует
Url     : http://weborto.net:8080/pipermail/ortho/attachments/20090215/1886afbc/attachment-0008.jpeg 
----------- УМЕДХЭБС ЮБУФШ -----------
Вложение не в текстовом формате было извлечено…
Имя     : PICT0049.JPG
Тип     : image/jpeg
Размер  : 4932 байтов
Описание: отсутствует
Url     : http://weborto.net:8080/pipermail/ortho/attachments/20090215/1886afbc/attachment-0009.jpeg 
----------- УМЕДХЭБС ЮБУФШ -----------
Вложение не в текстовом формате было извлечено…
Имя     : PICT0050.JPG
Тип     : image/jpeg
Размер  : 4101 байтов
Описание: отсутствует
Url     : http://weborto.net:8080/pipermail/ortho/attachments/20090215/1886afbc/attachment-0010.jpeg 
----------- УМЕДХЭБС ЮБУФШ -----------
Вложение не в текстовом формате было извлечено…
Имя     : PICT0053.JPG
Тип     : image/jpeg
Размер  : 3410 байтов
Описание: отсутствует
Url     : http://weborto.net:8080/pipermail/ortho/attachments/20090215/1886afbc/attachment-0011.jpeg 


Подробная информация о списке рассылки Ortho