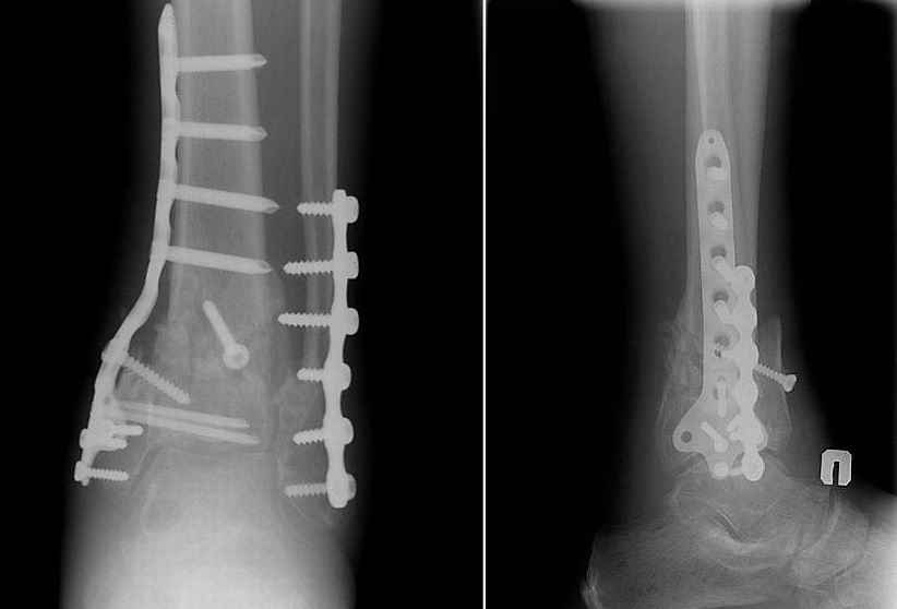
[Ortho] Перелом пилона 6 мес. давности

Кучерявый И. orthoforum на weborto.net
Вс Фев 15 20:32:11 YEKT 2009


Прооперировали 6 февраля. 
На операции - несращение проксимального диафизарного отломка и осколков эпифиза, которые представляли собой неправильно сросшийся, крепкий конгломерат. С учетом сохранности движений в голеностопном суставе (боясь ему навредить), решено было не разбирать их, а только исправить ось голени, что и было сделано, после остеотомии и резекции малоберцовой кости + остеопластика. 
Получилось видимо не идеально, внушает оптимизм хорошее состояние мягких тканей и сохранность движений в голеностопном суставе после операции. Хотя... :)
Кучерявый И.
----------- следущая часть -----------
Вложение не в текстовом формате было извлечено…
Имя     : 01111111.jpg
Тип     : image/jpeg
Размер  : 19227 байтов
Описание: отсутствует
Url     : http://weborto.net:8080/pipermail/ortho/attachments/20090215/8a8744b3/attachment-0001.jpg 


Подробная информация о списке рассылки Ortho