[Ortho] Многооскольчатый перелом бедра

Павел Владимирович orthoforum на weborto.net
Пн Фев 16 23:15:37 YEKT 2009


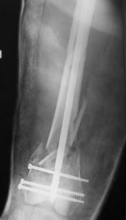
Результат операции блокирующего остеосинтеза многооскольчатого перелома бедра.
Применены винты собственной конструкции.(моделирование спогиозного винта) Хотелось бы
узнать рентгенологические результаты оперативного лечения
дистальных переломов бедра тибиальным стержнем.
Павел Владимирович
----------- следущая часть -----------
Вложение не в текстовом формате было извлечено…
Имя     : 1622.jpg
Тип     : image/jpeg
Размер  : 19287 байтов
Описание: отсутствует
Url     : http://weborto.net:8080/pipermail/ortho/attachments/20090216/ea6da0f8/attachment.jpg 


Подробная информация о списке рассылки Ortho