[Ortho] Многооскольчатый перелом бедра

Alexander Chelnokov alex на weborto.net
Вт Фев 17 01:20:16 YEKT 2009


Dear Павел.

You wrote 16 февраля 2009 г., 23:15:37:

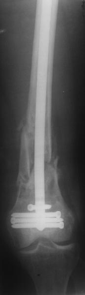
ПВ> Результат операции блокирующего остеосинтеза многооскольчатого перелома бедра.
ПВ> Применены винты собственной конструкции.(моделирование спогиозного винта) Хотелось бы

По прямой проекции неплохо. Что за стержень?
Антеградный остеосинтез при дистальных переломах бедра мы применяем
давно, этот материал обобщен в канд. диссертации Александр
Виноградского.   
Ободранные рашпилем до 6 мм в диаметре спонгиозные винты 6,5 мм тоже
доводилось использовать. 
Предприятие ЦИТО выпускает доработанные нами гвозди, которые хорошо
годятся для дистальных переломов, да и недороги. Можно вводть в
дистальное овальное отверстие 3 винта, которые заклинивают друг друга.
Большеберцовые стержни отлично выполняют роль ретроградных бедренных.
Конечно, которые не 9, а 12 мм в диаметре.
Примеры  приложены.


-- 
Best regards,
Alexander N. Chelnokov
Ural Scientific Research Institute
of Traumatology and Orthopaedics
7, Bankovsky str. Ekaterinburg 620014 Russia 
-------------- next part --------------
A non-text attachment was scrubbed...
Name: get_image1.jpg
Type: image/jpeg
Size: 7644 bytes
Desc: not available
Url : http://weborto.net:8080/pipermail/ortho/attachments/20090217/3aaa90e5/attachment-0003.jpg 
-------------- next part --------------
A non-text attachment was scrubbed...
Name: get_image2.jpg
Type: image/jpeg
Size: 9366 bytes
Desc: not available
Url : http://weborto.net:8080/pipermail/ortho/attachments/20090217/3aaa90e5/attachment-0004.jpg 
-------------- next part --------------
A non-text attachment was scrubbed...
Name: get_image3.jpg
Type: image/jpeg
Size: 21525 bytes
Desc: not available
Url : http://weborto.net:8080/pipermail/ortho/attachments/20090217/3aaa90e5/attachment-0005.jpg 


Подробная информация о списке рассылки Ortho