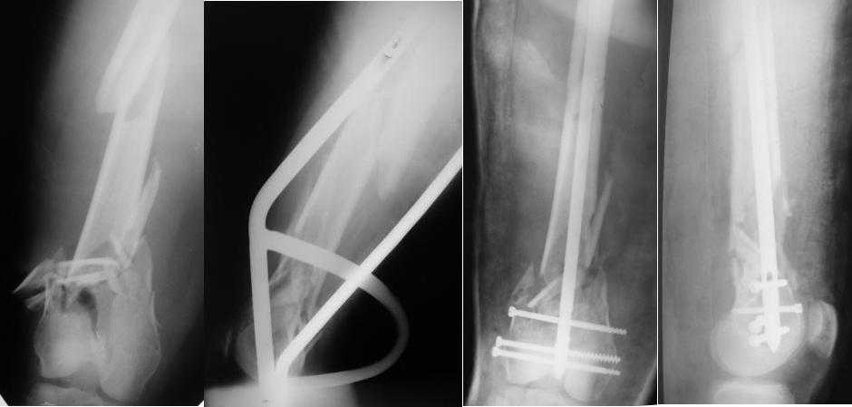
[Ortho] Многооскольчатый перелом бедра

Павел Владимирович orthoforum на weborto.net
Чт Фев 19 17:26:36 YEKT 2009


Приносим извинения за недостаток информации. Выкладываю все снимки.
Стержень фирмы НПО ДЕОСТ(г.Пущино-на-оке)
Павел Владимирович

----------- следущая часть -----------
Вложение не в текстовом формате было извлечено…
Имя     : Безымянный.JPG
Тип     : image/jpeg
Размер  : 24107 байтов
Описание: отсутствует
Url     : http://weborto.net:8080/pipermail/ortho/attachments/20090219/9603dcf9/attachment-0001.jpeg 


Подробная информация о списке рассылки Ortho