[Ortho] Патологический вертельный перелом

Зинаида Ивановна Горбунова orthoforum на weborto.net
Чт Фев 19 17:28:56 YEKT 2009


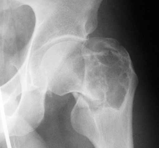
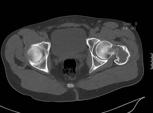
Уважаемые коллеги! Больной (1974 г.р.) травма 26.01.2009г., у пал на ра-боте с высоты своего роста, доставлен в одну из горбольниц Екатеринбурга в травматологическое отделение. На рентгенограмме выявлен патологический перелом чрезвертельной области левого бедра.
                        
Доброкачественная опухоль (ОБК?, энхондрома?), по данным RS. Дополнительно произведено КТ. Наложено скелетное вытяжение.
В анамнезе: ЧМТ (1977г, с трепанацией черепа), 1980 г. перелом костей правого предплечья, операция остеосинтеза. Консультирован в УНИИТО, в онкоцентре. Вопросы для обсуждения:
1. Диагноз
2. Тактика лечения: 1 эт.- консервативное лечение.
П эт. - оперативное лечение (вид)
Прилагаются: рентгенограмма и данные СТ
Врач Горбунова З.И.
----------- следущая часть -----------
Вложение не в текстовом формате было извлечено…
Имя     : Untitled-3.jpg
Тип     : image/jpeg
Размер  : 26662 байтов
Описание: отсутствует
Url     : http://weborto.net:8080/pipermail/ortho/attachments/20090219/f9428d03/attachment-0002.jpg 
----------- следущая часть -----------
Вложение не в текстовом формате было извлечено…
Имя     : P1210213.jpg
Тип     : image/jpeg
Размер  : 20348 байтов
Описание: отсутствует
Url     : http://weborto.net:8080/pipermail/ortho/attachments/20090219/f9428d03/attachment-0003.jpg 
----------- следущая часть -----------
Вложение не в текстовом формате было извлечено…
Имя     : P1210214.JPG
Тип     : image/jpeg
Размер  : 45567 байтов
Описание: отсутствует
Url     : http://weborto.net:8080/pipermail/ortho/attachments/20090219/f9428d03/attachment-0001.jpeg 


Подробная информация о списке рассылки Ortho