[Ortho] Контрактура локтевого сустава

Латиф orthoforum на weborto.net
Вт Фев 24 22:08:18 YEKT 2009


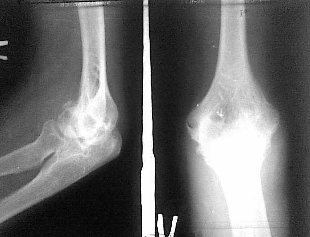
4 месяца тому назад больная 20 лет прооперирована по поводу внутри
суставного перелома наружного мыщелка плечевого сустава и локтевого
отростка локтевой кости.  
Отломки фиксированы спицами, наложен гипс на 45 дней. После снятия
гипса отмечается стойкая смешанная контрактура локтевого сустава.
Проведен курс физиотерапии, рассасывающие препараты. Амплитуда
движений: сгибание 90, разгибание 110 градусов. Консервативное
лечение без эффекта.    
Прошу Вашего мнения по поводу лечении и дальнейшего ведения больного

Латиф
Обл. больница г.Бухары
----------- следущая часть -----------
Вложение не в текстовом формате было извлечено…
Имя     : 06.jpg
Тип     : image/jpeg
Размер  : 27144 байтов
Описание: отсутствует
Url     : http://weborto.net:8080/pipermail/ortho/attachments/20090224/d8471d97/attachment-0001.jpg 


Подробная информация о списке рассылки Ortho