[Ortho] Ложный сустав вертельной области бедра.

Попов Виктор. г.Караганда orthoforum на weborto.net
Сб Фев 28 10:38:37 YEKT 2009


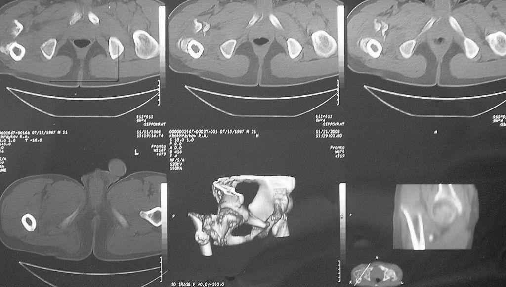
Уважаемые коллеги! Нужен совет. Больной Х., 21 год, ДЗ: ложный сустав вертельной области
правого бедра. Травма 8 мес. назад, ДТП, получил закрытый межвертельный перелом правого
бедра. Лечился в городской больнице одного из городов-спутников г. Караганды скелетным
вытяжением в течение 3 недель, затем кокситной гипсовой повязкой 2 мес.


В настоящее время имеется укорочение конечности на 7 см, умеренная
боль в вертельной области; ходит без костылей, полностью нагружая
больную конечность, при нагрузке отмечается смещение дистального
отломка проксимально примерно на 1,0 см.; объем движений в коленном
суставе сохранен; при пальпации отломков боли нет, умеренная
патологическая подвижность. 

Планируем внеочаговый остеосинтез спице-стержневым аппаратом,
дистракция до восстановления длины бедра, вторым этапом остеосинтез
стержнем Гамма. Есть надежда, что на дистракции пойдет сращение и у
больного хватит терпения завершить лечение в аппарате.

Компоновка аппарата: три стержня в центральный отломок на полукольце
или сегменте, кольцо с тремя спицами в зоне мыщелков бедра, две из
них с упорными площадками; по стержню в конец дистального отломка и
диафиз. Нуждаемся в советах:

1. правильно ли выбрана тактика лечения
2. какую оптимальную компоновку аппарата посоветуете

3. темп дистракции: дистракция с надеждой сформировать регенерат или
форсировать с целью быстрого восстановления длины бедра
4. следует ли  открывать зону ложного сустава, нужна ли костная пластика

5. каким видится окончательный вариант фиксации отломков (как вариант - остеосинтез DHS)
6. сроки проведения второго этапа операции.

7. есть ли шанс, открыв зону перелома, восстановить длину сегмента и фиксировать отломки одномоментно

Попов  Виктор. г.Караганда
----------- следущая часть -----------
Вложение не в текстовом формате было извлечено…
Имя     : slide0001_image002.jpg
Тип     : image/jpeg
Размер  : 29865 байтов
Описание: отсутствует
Url     : http://weborto.net:8080/pipermail/ortho/attachments/20090228/7483ce72/attachment-0009.jpg 
----------- следущая часть -----------
Вложение не в текстовом формате было извлечено…
Имя     : slide0002_image004.jpg
Тип     : image/jpeg
Размер  : 40884 байтов
Описание: отсутствует
Url     : http://weborto.net:8080/pipermail/ortho/attachments/20090228/7483ce72/attachment-0010.jpg 
----------- следущая часть -----------
Вложение не в текстовом формате было извлечено…
Имя     : slide0003_image006.jpg
Тип     : image/jpeg
Размер  : 27650 байтов
Описание: отсутствует
Url     : http://weborto.net:8080/pipermail/ortho/attachments/20090228/7483ce72/attachment-0011.jpg 
----------- следущая часть -----------
Вложение не в текстовом формате было извлечено…
Имя     : slide0004_image008.jpg
Тип     : image/jpeg
Размер  : 29967 байтов
Описание: отсутствует
Url     : http://weborto.net:8080/pipermail/ortho/attachments/20090228/7483ce72/attachment-0012.jpg 
----------- следущая часть -----------
Вложение не в текстовом формате было извлечено…
Имя     : slide0005_image009.jpg
Тип     : image/jpeg
Размер  : 38259 байтов
Описание: отсутствует
Url     : http://weborto.net:8080/pipermail/ortho/attachments/20090228/7483ce72/attachment-0013.jpg 
----------- следущая часть -----------
Вложение не в текстовом формате было извлечено…
Имя     : slide0007_image012.jpg
Тип     : image/jpeg
Размер  : 12450 байтов
Описание: отсутствует
Url     : http://weborto.net:8080/pipermail/ortho/attachments/20090228/7483ce72/attachment-0014.jpg 
----------- следущая часть -----------
Вложение не в текстовом формате было извлечено…
Имя     : slide0008_image014.jpg
Тип     : image/jpeg
Размер  : 31892 байтов
Описание: отсутствует
Url     : http://weborto.net:8080/pipermail/ortho/attachments/20090228/7483ce72/attachment-0015.jpg 
----------- следущая часть -----------
Вложение не в текстовом формате было извлечено…
Имя     : slide0009_image016.jpg
Тип     : image/jpeg
Размер  : 28575 байтов
Описание: отсутствует
Url     : http://weborto.net:8080/pipermail/ortho/attachments/20090228/7483ce72/attachment-0016.jpg 
----------- следущая часть -----------
Вложение не в текстовом формате было извлечено…
Имя     : slide0011_image019.jpg
Тип     : image/jpeg
Размер  : 33619 байтов
Описание: отсутствует
Url     : http://weborto.net:8080/pipermail/ortho/attachments/20090228/7483ce72/attachment-0017.jpg 


Подробная информация о списке рассылки Ortho