[Ortho] Рефрактура бедренной кости

Михаил Васильев orthoforum на weborto.net
Пн Янв 12 22:25:50 YEKT 2009


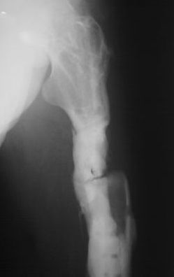
Уважаемые коллеги! Выношу на обсуждение клинический случай. Пациент 38 лет, оперирован
дважды. В настоящее время рефрактура.

Подробности из анамнеза: в 2007 году пациенту выполнена операция остеосинтез бедренной
кости по поводу многооскольчатого перелома с применением пластинки с ограниченным
контактом (имплантов с угловой стабильностью и блокируемых гвоздей на момент операции в
наличии не было - это, чтобы не обсуждать лишние вопросы).

Через 6,5 месяцев после остеосинтеза развился остеомиелит в верхней
трети диафиза бедренной кости с образованием секвестра размерами
55х30х25 мм. В 2008 году (через 8 месяцев после остеосинтеза)
выполнена вторая операция - удаление металлоконструкции и
секвестрэктомия. При удалении пластинки и ревизии ложа секвестра,
костная мозоль на сросшемся участке состоятельна. было принято 
решение заполнить секвестральную полость мышечным лоскутом.

В послеоперационном периоде нагрузка на конечность была исключена 2,5
месяца, дополнительная фиксация индивидуальным брейсом. Свищи зажили,
обострения остемиелита купировано. Пациент приступил к
профессиональной деятельности (автослесарь). В конце ноября при уборке снега произвел 
резкую опорную нагрузку на конечность, после чего появились умеренные боли нарастающие в
течение месяца.

В настоящее время госпитализирован для оперативного лечения по поводу
рефрактуры на уровне верхней трети бедренной кости. Планируется остеосинтез аппаратом 
Илизарова с стержневой модификации (без обширного вмешательства в зоне перелома)и как
вариант тунеллизации через зону перелома с возможным введением в
каналы "Коллапана", "Сhronos" и.т.п. Также были предложены варианты
пластинками с угловой стабильностью, блокируемый остесинтез гвоздями.
Движения в коленном суставе до повторного перелома сгибание 90
градусов, разгибание 180. Пациент пониженного питания. Какие есть
мнения по решению данного случая, может кто-то сталкивался с
подобными вариантами развития событий.  
Всем заранее благодарен за Ваше время. Михаил.
Республиканская клиническая больница
----------- следущая часть -----------
Вложение не в текстовом формате было извлечено…
Имя     : 0.jpg
Тип     : image/jpeg
Размер  : 11836 байтов
Описание: отсутствует
Url     : http://weborto.net:8080/pipermail/ortho/attachments/20090112/92e1415f/attachment-0002.jpg 
----------- следущая часть -----------
Вложение не в текстовом формате было извлечено…
Имя     : 1.jpg
Тип     : image/jpeg
Размер  : 10118 байтов
Описание: отсутствует
Url     : http://weborto.net:8080/pipermail/ortho/attachments/20090112/92e1415f/attachment-0003.jpg 


Подробная информация о списке рассылки Ortho