[Ortho] Перелом проксимального отдела бедра

А.Ситник orthoforum на weborto.net
Ср Янв 14 22:26:09 YEKT 2009


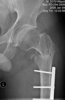
АС> На снимке есть только дистальный отдел бедра, похоже, еще (или уже?) несросшийся на
АС> фоне DCS. Что за перелом проксимального бедра, пока информации нет.
АС> Шлите снимки. И узнать бы, что доступно на месте для этого пациента.

Р-гр шейки
А.Ситник
----------- следущая часть -----------
Вложение не в текстовом формате было извлечено…
Имя     : Pochebyt 0901040001.jpg
Тип     : image/jpeg
Размер  : 18717 байтов
Описание: отсутствует
Url     : http://weborto.net:8080/pipermail/ortho/attachments/20090114/7b6e28ec/attachment-0002.jpg 
----------- следущая часть -----------
Вложение не в текстовом формате было извлечено…
Имя     : Pochebyt 0901040002.jpg
Тип     : image/jpeg
Размер  : 10587 байтов
Описание: отсутствует
Url     : http://weborto.net:8080/pipermail/ortho/attachments/20090114/7b6e28ec/attachment-0003.jpg 


Подробная информация о списке рассылки Ortho