[Ortho] Застарелое повреждение кистевого сустава

Юрий Алексеевич Булахтин orthoforum на weborto.net
Сб Янв 17 19:40:36 YEKT 2009


               Уважаемые коллеги!
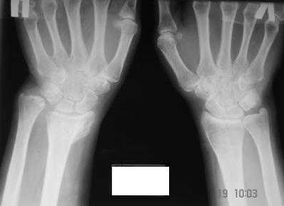
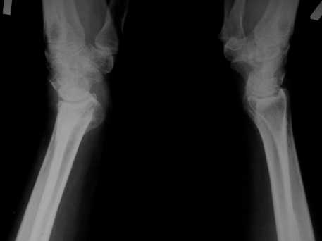
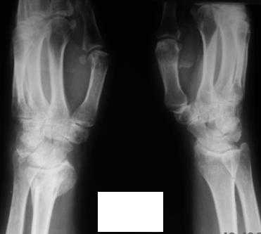
 Обратилась женщина, 55 лет. Травма 3 месяца назад, лечилась по месту жительства (Рис.1). Косорукость, боли, ограничение движений. Досняли - рис.2-6. Хотелось-бы услышать мнения  об объеме операции. 

       С уважением, Юрий Алексеевич Булахтин
главный травматолог Камчатского Военно-морского госпиталя
----------- следущая часть -----------
Вложение не в текстовом формате было извлечено…
Имя     : 1.JPG
Тип     : image/jpeg
Размер  : 16904 байтов
Описание: отсутствует
Url     : http://weborto.net:8080/pipermail/ortho/attachments/20090117/27e99bb4/attachment-0006.jpeg 
----------- следущая часть -----------
Вложение не в текстовом формате было извлечено…
Имя     : 2.JPG
Тип     : image/jpeg
Размер  : 12576 байтов
Описание: отсутствует
Url     : http://weborto.net:8080/pipermail/ortho/attachments/20090117/27e99bb4/attachment-0007.jpeg 
----------- следущая часть -----------
Вложение не в текстовом формате было извлечено…
Имя     : 3.JPG
Тип     : image/jpeg
Размер  : 15345 байтов
Описание: отсутствует
Url     : http://weborto.net:8080/pipermail/ortho/attachments/20090117/27e99bb4/attachment-0008.jpeg 
----------- следущая часть -----------
Вложение не в текстовом формате было извлечено…
Имя     : 4.JPG
Тип     : image/jpeg
Размер  : 12513 байтов
Описание: отсутствует
Url     : http://weborto.net:8080/pipermail/ortho/attachments/20090117/27e99bb4/attachment-0009.jpeg 
----------- следущая часть -----------
Вложение не в текстовом формате было извлечено…
Имя     : 5.JPG
Тип     : image/jpeg
Размер  : 14782 байтов
Описание: отсутствует
Url     : http://weborto.net:8080/pipermail/ortho/attachments/20090117/27e99bb4/attachment-0010.jpeg 
----------- следущая часть -----------
Вложение не в текстовом формате было извлечено…
Имя     : 6.JPG
Тип     : image/jpeg
Размер  : 16602 байтов
Описание: отсутствует
Url     : http://weborto.net:8080/pipermail/ortho/attachments/20090117/27e99bb4/attachment-0011.jpeg 


Подробная информация о списке рассылки Ortho