[Ortho] эндопротезирование ?

Алексей orthoforum на weborto.net
Вс Янв 18 01:53:38 YEKT 2009


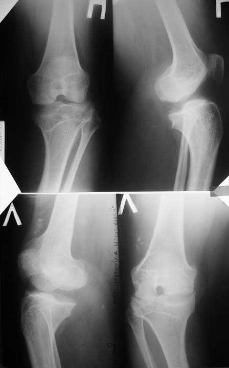
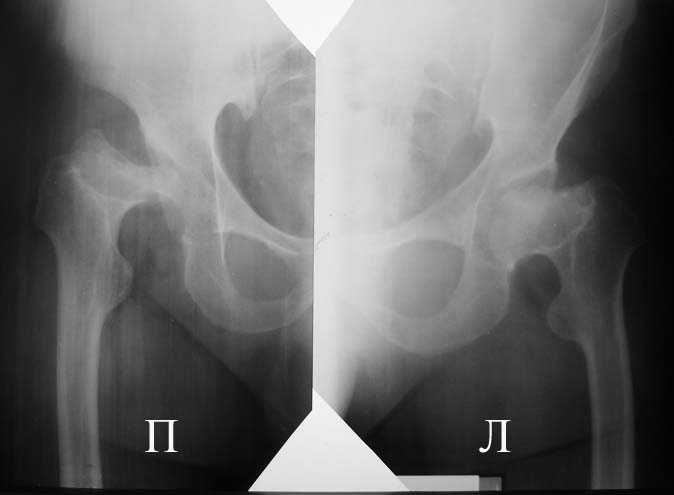
Вот остальные снимки, надеюсь качество немножко получше...
Прямая проекция т/б суставов
Аксиальная проэкция обоих т/б суставов
Прямая и боковая обоих коленных суставов

Алексей
----------- следущая часть -----------
Вложение не в текстовом формате было извлечено…
Имя     : 1.jpg
Тип     : image/jpeg
Размер  : 24768 байтов
Описание: отсутствует
Url     : http://weborto.net:8080/pipermail/ortho/attachments/20090118/e452b84f/attachment-0003.jpg 
----------- следущая часть -----------
Вложение не в текстовом формате было извлечено…
Имя     : 2.jpg
Тип     : image/jpeg
Размер  : 23122 байтов
Описание: отсутствует
Url     : http://weborto.net:8080/pipermail/ortho/attachments/20090118/e452b84f/attachment-0004.jpg 
----------- следущая часть -----------
Вложение не в текстовом формате было извлечено…
Имя     : 3.jpg
Тип     : image/jpeg
Размер  : 29677 байтов
Описание: отсутствует
Url     : http://weborto.net:8080/pipermail/ortho/attachments/20090118/e452b84f/attachment-0005.jpg 


Подробная информация о списке рассылки Ortho