[Ortho] Остеобластокластома?

ANDREW orthoforum на weborto.net
Ср Янв 21 01:08:31 YEKT 2009


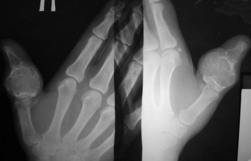
Больная, 68 лет. 10 лет назад со слов больной была трвма пальца, за помощью не обращалась, была
небольшая припухлость. За последние 2 года отметила рост опухолеподобного образования,
появились боли, ограничение движений 1 пальца. При пальпации умеренная болезненость.
Наблюдалась в поликлинике по месту жительства с диагнозами - солитарная костная киста,
энхондрома. Госпитализирована с диагнозом остеобластокластома проксимальной фаланги 1
пальца правой кисти.
Предлагается удаление проксимальной фаланги и костная пластика:
1. трансплантатом из гребня подвздошной кости
2. трансплантатом из большеберцовой кости
3.трансплантатом из головки плюсневой кости
У кого есть какие-то взгляды на лечение даной
больной. Спасибо за ответы.
ANDREW
----------- следущая часть -----------
Вложение не в текстовом формате было извлечено…
Имя     : IMG_4089_1.jpg
Тип     : image/jpeg
Размер  : 64032 байтов
Описание: отсутствует
Url     : http://weborto.net:8080/pipermail/ortho/attachments/20090121/ef9ed46b/attachment-0004.jpg 
----------- следущая часть -----------
Вложение не в текстовом формате было извлечено…
Имя     : IMG_4090_1.jpg
Тип     : image/jpeg
Размер  : 59615 байтов
Описание: отсутствует
Url     : http://weborto.net:8080/pipermail/ortho/attachments/20090121/ef9ed46b/attachment-0005.jpg 
----------- следущая часть -----------
Вложение не в текстовом формате было извлечено…
Имя     : IMG_4092_1.jpg
Тип     : image/jpeg
Размер  : 61463 байтов
Описание: отсутствует
Url     : http://weborto.net:8080/pipermail/ortho/attachments/20090121/ef9ed46b/attachment-0006.jpg 
----------- следущая часть -----------
Вложение не в текстовом формате было извлечено…
Имя     : IMG_4100_1.jpg
Тип     : image/jpeg
Размер  : 78153 байтов
Описание: отсутствует
Url     : http://weborto.net:8080/pipermail/ortho/attachments/20090121/ef9ed46b/attachment-0007.jpg 


Подробная информация о списке рассылки Ortho