[Ortho] Ложный сустав голени

Гоча orthoforum на weborto.net
Ср Янв 21 01:29:33 YEKT 2009


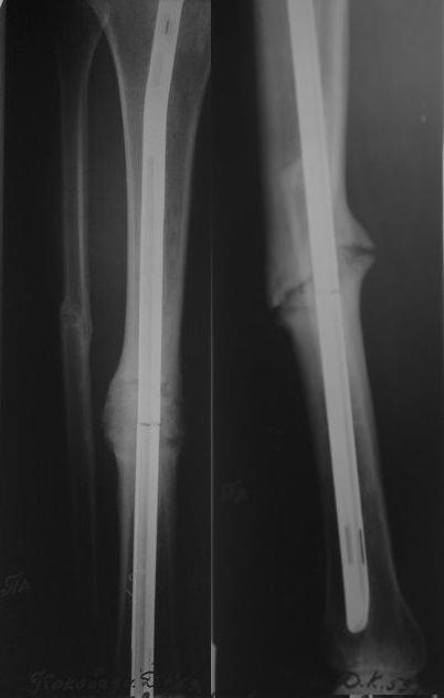
Уважаемые коллеги! У пациента 50-ти лет ложный сустав голени, перелом интрамедуллярного
штифта. Перелому около 2 лет, ходить с полной нагрузкой начал через 3 мес. после операции.
Боли при ходьбе почувствовал около 2 мес. назад.
На данный момент ходит с полной нагрузкой без посторонней опоры.

Среди коллег развернулась дискуссия по поводу способа оперативного лечения:

-удаление штифта с перештивтовыванием блокированным штифтом с рассверливанием и
остеотомией м\б кости

-стабилизация зоны ложного сустава по медиальной поверхности LCP-пластиной с декортикацией или без

-удаление штифта или без и синтез в АВФ с декортикацией или без и остеотомией м\б кости

Какой из вариантов лучше, коллеги? Еше какие варианты возможны?

Есть у кого-нибудь опыт закрытого удаления поломанного штифта с учетом наличия
ЭОП-а? Заранее благодарен за ваше мнение!

Гоча
----------- следущая часть -----------
Вложение не в текстовом формате было извлечено…
Имя     : 1.JPG
Тип     : image/jpeg
Размер  : 25531 байтов
Описание: отсутствует
Url     : http://weborto.net:8080/pipermail/ortho/attachments/20090121/9f842c2d/attachment-0001.jpeg 


Подробная информация о списке рассылки Ortho