[Ortho] Ложный сустав голени

Djoldas Kuldjanov orthoforum на weborto.net
Чт Янв 22 00:45:12 YEKT 2009


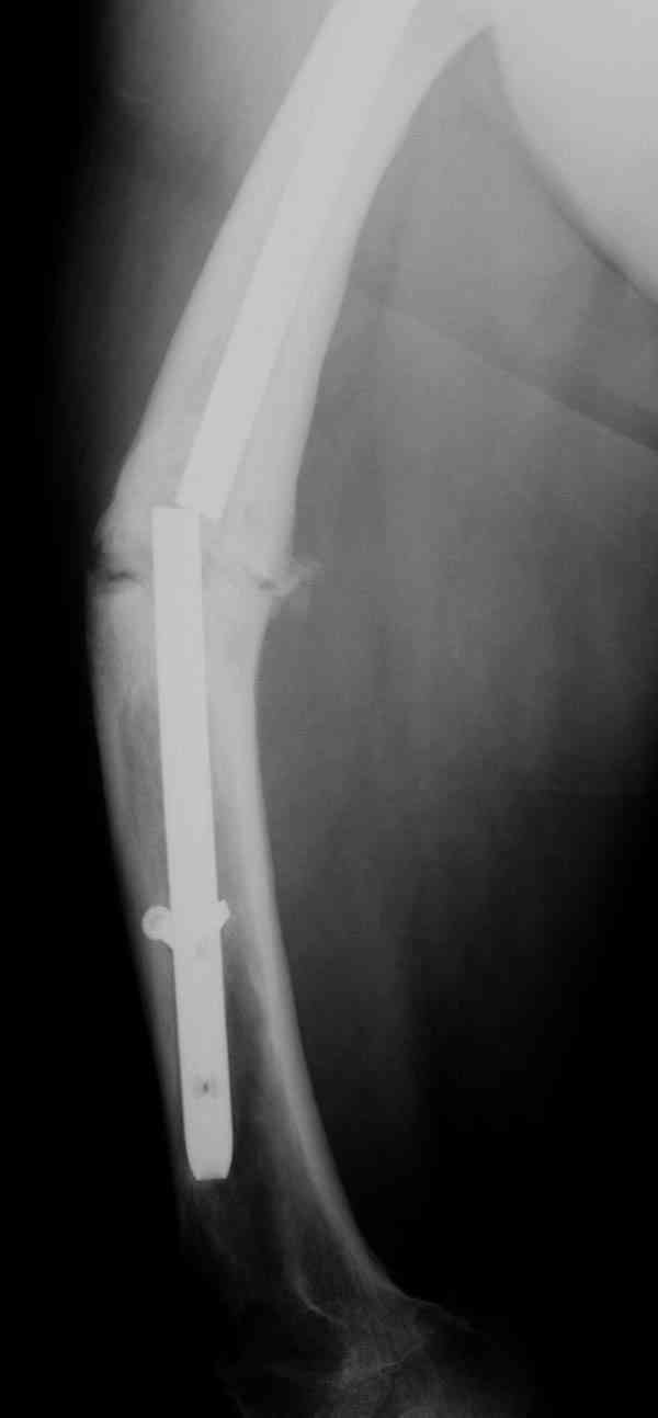
Сросшаяся малоберцовая как распорка привела к образованию ложного
сустава. В таких случаях удаляем сломанный штифт и проводим
стимуляцию ложного сустава рассверливанием. Рассверливание канала
создает стимуляцию на месте ложного сустава, и динамический вариант
блокировки штифта с большим диаметром создаст стабильность. Ранняя
нагрузка после остеотомии малоберцовой приведет к сращению ложного
сустава.      

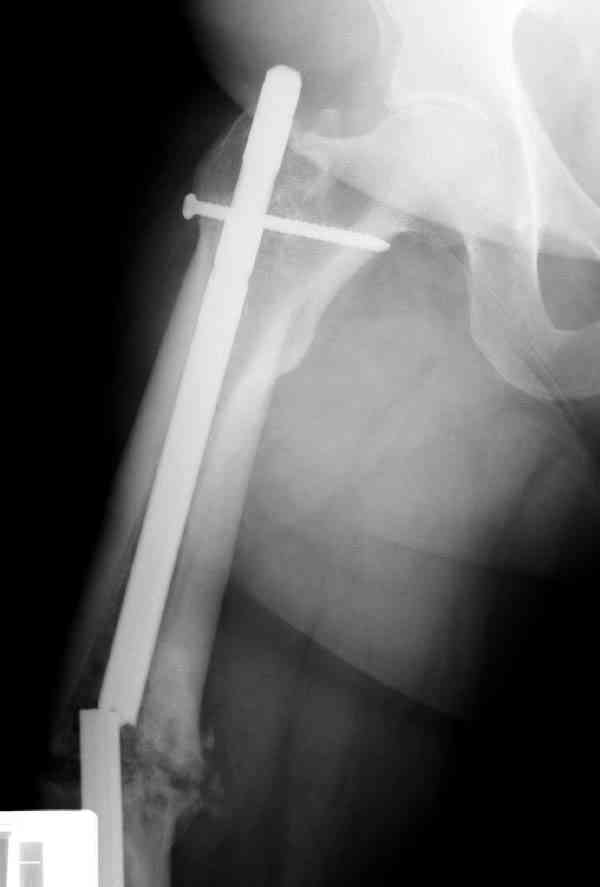
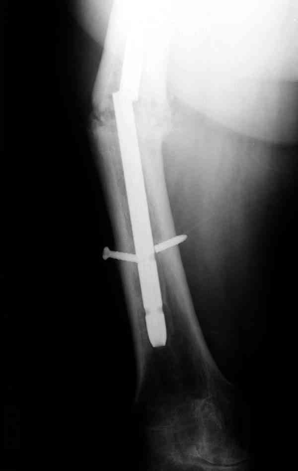
Приспособление для удаления сломанных штифтов и наличие ЭОП облегчит
задачу. При отсутствии крючка тогда можно применить обычный длинный
ball pointed guide wire от интрамедулярного набора. Проволока,
пропущенная за пределы гвоздя и зажатая другая вытащат сломанный
конец штифта без проблем.

Djoldas Kuldjanov, MD
Department of Orthopedic Surgery
St. Louis University Medical Center
----------- следущая часть -----------
Вложение не в текстовом формате было извлечено…
Имя     : 1.jpg
Тип     : image/jpeg
Размер  : 17731 байтов
Описание: отсутствует
Url     : http://weborto.net:8080/pipermail/ortho/attachments/20090122/400e2d72/attachment-0010.jpg 
----------- следущая часть -----------
Вложение не в текстовом формате было извлечено…
Имя     : 2.jpg
Тип     : image/jpeg
Размер  : 19290 байтов
Описание: отсутствует
Url     : http://weborto.net:8080/pipermail/ortho/attachments/20090122/400e2d72/attachment-0011.jpg 
----------- следущая часть -----------
Вложение не в текстовом формате было извлечено…
Имя     : 3.jpg
Тип     : image/jpeg
Размер  : 19937 байтов
Описание: отсутствует
Url     : http://weborto.net:8080/pipermail/ortho/attachments/20090122/400e2d72/attachment-0012.jpg 
----------- следущая часть -----------
Вложение не в текстовом формате было извлечено…
Имя     : 4.jpg
Тип     : image/jpeg
Размер  : 20966 байтов
Описание: отсутствует
Url     : http://weborto.net:8080/pipermail/ortho/attachments/20090122/400e2d72/attachment-0013.jpg 
----------- следущая часть -----------
Вложение не в текстовом формате было извлечено…
Имя     : 5.jpg
Тип     : image/jpeg
Размер  : 21825 байтов
Описание: отсутствует
Url     : http://weborto.net:8080/pipermail/ortho/attachments/20090122/400e2d72/attachment-0014.jpg 
----------- следущая часть -----------
Вложение не в текстовом формате было извлечено…
Имя     : 6.jpg
Тип     : image/jpeg
Размер  : 23482 байтов
Описание: отсутствует
Url     : http://weborto.net:8080/pipermail/ortho/attachments/20090122/400e2d72/attachment-0015.jpg 
----------- следущая часть -----------
Вложение не в текстовом формате было извлечено…
Имя     : 7.jpg
Тип     : image/jpeg
Размер  : 21996 байтов
Описание: отсутствует
Url     : http://weborto.net:8080/pipermail/ortho/attachments/20090122/400e2d72/attachment-0016.jpg 
----------- следущая часть -----------
Вложение не в текстовом формате было извлечено…
Имя     : 8.jpg
Тип     : image/jpeg
Размер  : 19397 байтов
Описание: отсутствует
Url     : http://weborto.net:8080/pipermail/ortho/attachments/20090122/400e2d72/attachment-0017.jpg 
----------- следущая часть -----------
Вложение не в текстовом формате было извлечено…
Имя     : 11.jpg
Тип     : image/jpeg
Размер  : 59591 байтов
Описание: отсутствует
Url     : http://weborto.net:8080/pipermail/ortho/attachments/20090122/400e2d72/attachment-0018.jpg 
----------- следущая часть -----------
Вложение не в текстовом формате было извлечено…
Имя     : 12.jpg
Тип     : image/jpeg
Размер  : 38902 байтов
Описание: отсутствует
Url     : http://weborto.net:8080/pipermail/ortho/attachments/20090122/400e2d72/attachment-0019.jpg 


Подробная информация о списке рассылки Ortho