[Ortho] эндопротез

Игорь orthoforum на weborto.net
Пт Янв 23 23:18:20 YEKT 2009


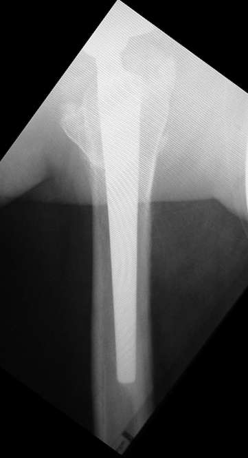
Здравствуйте уважаемые коллеги! Хочу попросить совета по следующему случаю.
Больной 1952 г.р. тотальное эндопротезирование обеих т/б суставов. Правый 2004г., левый в 2007г.
19.01.09. стали беспокоить боли в средней трети левого бедра по
наружной поверхности. Боли беспокоят только при ходьбе. Лежа и сидя
болей нет. Стоя вертикально, перенеся массу тела на правую ногу боль
исчезает, при равномерном распределении нагрузки снова появляется.
Снимки прилагаю.     
Заранее всем благодарен за оказанную помощь.
Игорь
----------- следущая часть -----------
Вложение не в текстовом формате было извлечено…
Имя     : P1010002.JPG
Тип     : image/jpeg
Размер  : 14195 байтов
Описание: отсутствует
Url     : http://weborto.net:8080/pipermail/ortho/attachments/20090123/baff5287/attachment-0002.jpeg 
----------- следущая часть -----------
Вложение не в текстовом формате было извлечено…
Имя     : P1010006.JPG
Тип     : image/jpeg
Размер  : 10488 байтов
Описание: отсутствует
Url     : http://weborto.net:8080/pipermail/ortho/attachments/20090123/baff5287/attachment-0003.jpeg 


Подробная информация о списке рассылки Ortho