[Ortho] Перелом пилона 6 мес. давности

Кучерявый Игорь orthoforum на weborto.net
Сб Янв 24 13:51:43 YEKT 2009


Доброго времени суток! Хотелось бы посоветоваться по срокам и тактике лечения пациента с
переломом пилона 6 месячной давности.

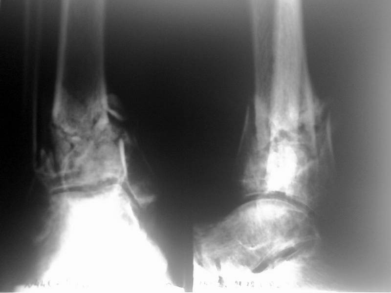
Пациент 50 лет, получил травму в июле 2008г. - упал с высоты 2 м, подвернул ногу. Лечился
вытяжением в соседнем отделении, через 4 недели был загипсован и отправлен восвояси. Через 3
месяца в поликлинике ему сняли гипс и заставили ходить с нагрузкой на ногу, чего он сделать не
смог - нога подворачивается, сильных болей нет. Через 6 месяцев с момента травмы пациент
сообразил, что что-то идет не так, и сам пришел к нам с вопросом - "Что делать?" При осмотре
имеется тугая подвижность в зоне перелома, движения в голеностопном суставе ограничены,
острых болей нет. Отек стопы и голени умеренный. Операция назначена на 27 января, планируем
наложение аппарата Илизарова для устранения смещения по оси и длине, затем планируется
накостный остеосинтез большеберцовой и малоберцовой. Но возникает ряд вопросов.

-Оптимальные сроки накостного остеосинтеза?
- Фиксаторы? Лист клевера и обычная пластина на малоберцовую или искать LSP?
- И совсем уж крамольный вопрос - нужен ли накостный остеосинтез для
восстановления анатомической целостности в принципе, через 7 месяцев
после травмы?

Кучерявый Игорь
Сергиев Посад, РБ
----------- следущая часть -----------
Вложение не в текстовом формате было извлечено…
Имя     : Photo_0001.jpg
Тип     : image/jpeg
Размер  : 22510 байтов
Описание: отсутствует
Url     : http://weborto.net:8080/pipermail/ortho/attachments/20090124/858608c0/attachment-0001.jpg 


Подробная информация о списке рассылки Ortho