[Ortho] Остеомиелит н/3 голени , асептический некроз (?) тарана

дмитрий бондарь orthoforum на weborto.net
Вс Янв 25 00:54:55 YEKT 2009


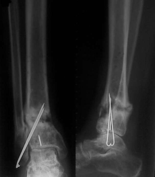
Уважаемые коллеги, обратилась больная 30 года, травма 1 год назад,
открытый перелом дистального метаэпифиза левой голени, закрытый
перелом левой таранной кости, закрытый перелом наружной лодыжки слева.

Больная была прооперирована в солидном лечебном учреждении был
произведен остеосинтез переломов (снимков пока нет).
Послеоперационный период осложнился нагноением, конструкции были
удалены. На сегодняшний день имеется следующее: по
переднее-медиальной поверхности имеется свищ около 5 мм в диаметре с
небольшим количеством гнойного отделяемого, конечность опорна, боли
при нагрузке практически нет. Нервно - сосудистый статус без
патологии. Подошвенное сгибание 10, тыльное 8 градусов. Снимки
представлены ниже. Как лучше поступить в данном случае? имеется 2
варианта:         
1.Удалить спицы, качественная секвестрнекрэктомия, лаваж полости с
последующим заполнением её цементными бусами с антибиотиком. С целью
профилактики перелома наложить простейший АВФ из двух колец. Через
2-4 недели (при благоприятном течении процесса) удалить бусы и
заполнить полость аутографтом. Что смущает при этом варианте: малый
размер полости 20 х 30 мм - мало цемента с антибиотиком -
недостаточная концентрация антибиотика. Кроме того, дефект расположен
вблизи сустава, где существует малое количество мягких тканей.
Смущает так же состояние таранной кости.
2. Выполнить  резекцию очага с последующим замещением дефекта по
Илизарову. Больная и родственники не совсем в восторге от этого
варианта (длительные сроки, неудобства, связанные с ношением АВФ).
Хотя  возможно это и лучший вариант. Про таран уже говорилось выше.
Какие ещё возможны варианты ? 
С уважением Д.Б.


----------- следущая часть -----------
Вложение не в текстовом формате было извлечено…
Имя     : 1.jpg
Тип     : image/jpeg
Размер  : 23123 байтов
Описание: отсутствует
Url     : http://weborto.net:8080/pipermail/ortho/attachments/20090125/069ed43e/attachment-0001.jpg 


Подробная информация о списке рассылки Ortho