[Ortho] Двойной перелом бедра

Abdurashid orthoforum на weborto.net
Вс Янв 25 16:54:43 YEKT 2009


      Добрый день, уважаемые коллеги!

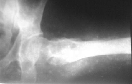
Больному 50л. В отдаленном от центра р-не ДТП 6.12.08г. д-з " тяжелая
ЧМТ, мн. переломы ребер слева, отрыв ножки селезенки, повреждение п/ж
железы, з/двойной перелом прав. бедра.После экстрен. хирургических
вмешательств, конечность фиксирован кокситной гипсовой лонгетной
повязкой. Кома 2 нед, нагноение п/о раны живота, постравмат.
пневмония.
  20.01.09г. переведен к нам. Постельный больной,
ослабленный, бледный, весом 56кг:  свищ п/о раны перед.брюшной стенки
с сукровичным выделением, гипс снят - деформация и укорочение
бедра на 6см, в обл перелома есть спайка. Слабо, но активно поднимает
ногу, контрактура т/б и коленных суставов. 
  Обшеукреп, лечение, компоненты крови, обш массаж, ЛФК  и больной
активизирован, начал ходить с костылями, движения в суставах почти
восстановлены. НВ-112, эр-3,5млн. 

 Наш план блокир. и/м остеосинтез. Имеется гвозди для ВНПБ ЦИТО, но PFN не имеется.
 -Можно ли остеосинтез гвоздем для высоких и низких переломов бедра?
 -Если да,  как установить дистракцион. усстройство А.Н Челнокова?
  - Может быть, еще какие-то нюансы имеется?
       С БОЛЬШИМ УВАЖЕНИЕМ АБДУРАШИД.
   
----------- следущая часть -----------
Вложение не в текстовом формате было извлечено…
Имя     : PICT0012.JPG
Тип     : image/jpeg
Размер  : 10309 байтов
Описание: отсутствует
Url     : http://weborto.net:8080/pipermail/ortho/attachments/20090125/3084e8b8/attachment-0003.jpeg 
----------- следущая часть -----------
Вложение не в текстовом формате было извлечено…
Имя     : PICT0013.JPG
Тип     : image/jpeg
Размер  : 14523 байтов
Описание: отсутствует
Url     : http://weborto.net:8080/pipermail/ortho/attachments/20090125/3084e8b8/attachment-0004.jpeg 
----------- следущая часть -----------
Вложение не в текстовом формате было извлечено…
Имя     : PICT0015.JPG
Тип     : image/jpeg
Размер  : 9373 байтов
Описание: отсутствует
Url     : http://weborto.net:8080/pipermail/ortho/attachments/20090125/3084e8b8/attachment-0005.jpeg 


Подробная информация о списке рассылки Ortho