[Ortho] Артродез и кейдж

Anton Bekhterev ab на ctsnet.ru
Ср Июл 1 20:28:01 YEKST 2009


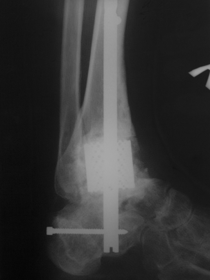
Сегодня пациентке снята иммобилизирующая повязка, выполнен
рентгенконтроль. Рекомендована ходьба с полной нагрузкой в
ортопедической обуви. Следующий контрольный осмотр, если ничего
больную беспокоить не будет, планируем месяцев через 6.
> _______________________________________________
> Ortho mailing list
> Ortho на weborto.net
> http://weborto.net:8080/mailman/listinfo/ortho



-- 
С уважением,
 Anton                          mailto:ab на ctsnet.ru
----------- следущая часть -----------
Вложение не в текстовом формате было извлечено…
Имя     : IMG_5213.jpg
Тип     : image/jpeg
Размер  : 74556 байтов
Описание: отсутствует
Url     : http://weborto.net:8080/pipermail/ortho/attachments/20090701/e0757697/attachment-0004.jpg 
----------- следущая часть -----------
Вложение не в текстовом формате было извлечено…
Имя     : IMG_5216.jpg
Тип     : image/jpeg
Размер  : 66029 байтов
Описание: отсутствует
Url     : http://weborto.net:8080/pipermail/ortho/attachments/20090701/e0757697/attachment-0005.jpg 
----------- следущая часть -----------
Вложение не в текстовом формате было извлечено…
Имя     : IMG_5214.jpg
Тип     : image/jpeg
Размер  : 70270 байтов
Описание: отсутствует
Url     : http://weborto.net:8080/pipermail/ortho/attachments/20090701/e0757697/attachment-0006.jpg 
----------- следущая часть -----------
Вложение не в текстовом формате было извлечено…
Имя     : IMG_5215.jpg
Тип     : image/jpeg
Размер  : 71927 байтов
Описание: отсутствует
Url     : http://weborto.net:8080/pipermail/ortho/attachments/20090701/e0757697/attachment-0007.jpg 


Подробная информация о списке рассылки Ortho