[Ortho] Pelvic and acetabular fracture

Josep M. Muñoz Vives orthoforum на weborto.net
Пн Июл 6 22:37:19 YEKST 2009


I'm posting this case on behalf of Dr. Pedro Caba, he is unable to post but able to read.

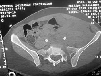
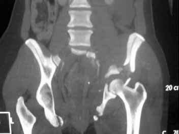
41 yo female , fall from 10 meters five days ago. Hemodynamically unstable on admission treated by angio and embolization and skeletal traction, with no external support. No associated injuries.

Based on CT scan the pt has a both column fracture with conminuted dome and displaced anterior column and a sacral Denis 1 fracture with a displaced left ala. I think the best approach for the acetabular fracture is ilioinguinal with Smith-Petersen extension but don't know exactly the sequence . Will you start with the sacral fracture? Which technique?

 

Thanks in advance

Pedro Caba
Unidad de Trauma Hospital 12 de Octubre
Madrid
Spain
----------- УМЕДХЭБС ЮБУФШ -----------
Вложение не в текстовом формате было извлечено…
Имя     : slide0001_image001.jpg
Тип     : image/jpeg
Размер  : 2860 байтов
Описание: отсутствует
Url     : http://weborto.net:8080/pipermail/ortho/attachments/20090706/45fcd30e/attachment-0008.jpg 
----------- УМЕДХЭБС ЮБУФШ -----------
Вложение не в текстовом формате было извлечено…
Имя     : slide0001_image003.jpg
Тип     : image/jpeg
Размер  : 2651 байтов
Описание: отсутствует
Url     : http://weborto.net:8080/pipermail/ortho/attachments/20090706/45fcd30e/attachment-0009.jpg 
----------- УМЕДХЭБС ЮБУФШ -----------
Вложение не в текстовом формате было извлечено…
Имя     : slide0002_image005.jpg
Тип     : image/jpeg
Размер  : 7304 байтов
Описание: отсутствует
Url     : http://weborto.net:8080/pipermail/ortho/attachments/20090706/45fcd30e/attachment-0010.jpg 
----------- УМЕДХЭБС ЮБУФШ -----------
Вложение не в текстовом формате было извлечено…
Имя     : slide0002_image007.jpg
Тип     : image/jpeg
Размер  : 6609 байтов
Описание: отсутствует
Url     : http://weborto.net:8080/pipermail/ortho/attachments/20090706/45fcd30e/attachment-0011.jpg 
----------- УМЕДХЭБС ЮБУФШ -----------
Вложение не в текстовом формате было извлечено…
Имя     : slide0002_image009.jpg
Тип     : image/jpeg
Размер  : 10234 байтов
Описание: отсутствует
Url     : http://weborto.net:8080/pipermail/ortho/attachments/20090706/45fcd30e/attachment-0012.jpg 
----------- УМЕДХЭБС ЮБУФШ -----------
Вложение не в текстовом формате было извлечено…
Имя     : slide0002_image011.jpg
Тип     : image/jpeg
Размер  : 7515 байтов
Описание: отсутствует
Url     : http://weborto.net:8080/pipermail/ortho/attachments/20090706/45fcd30e/attachment-0013.jpg 
----------- УМЕДХЭБС ЮБУФШ -----------
Вложение не в текстовом формате было извлечено…
Имя     : slide0003_image013.jpg
Тип     : image/jpeg
Размер  : 5816 байтов
Описание: отсутствует
Url     : http://weborto.net:8080/pipermail/ortho/attachments/20090706/45fcd30e/attachment-0014.jpg 
----------- УМЕДХЭБС ЮБУФШ -----------
Вложение не в текстовом формате было извлечено…
Имя     : slide0003_image015.jpg
Тип     : image/jpeg
Размер  : 5932 байтов
Описание: отсутствует
Url     : http://weborto.net:8080/pipermail/ortho/attachments/20090706/45fcd30e/attachment-0015.jpg 


Подробная информация о списке рассылки Ortho