[Ortho] Pelvic and acetabular fracture

Josep M. Muñoz Vives orthoforum на weborto.net
Пн Июл 6 23:12:30 YEKST 2009


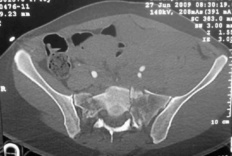
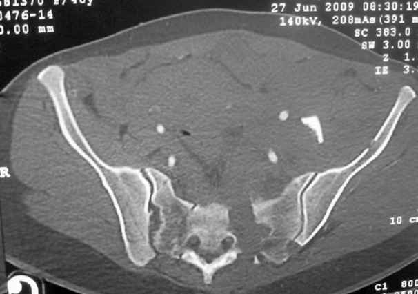
General condition is fine except for an intractable pelvic pain, no associated injuries (only ankle fracture), no sciatic nerve injury.

 The soft tissues are also in mild condition, buttock hematoma and probably a Morel-Lavalle. I send some more CT images. There are some conminution in the posterior column (I don’t have images now). The patient is scheduled for surgery next Monday. The plan is percutaneous sacral fixation and then ilioinguinal approach .

Thank you

 

Pedro Caba
Unidad de Trauma Hospital 12 de Octubre
----------- УМЕДХЭБС ЮБУФШ -----------
Вложение не в текстовом формате было извлечено…
Имя     : C2.jpg
Тип     : image/jpeg
Размер  : 23249 байтов
Описание: отсутствует
Url     : http://weborto.net:8080/pipermail/ortho/attachments/20090706/32f84bd9/attachment-0003.jpg 
----------- УМЕДХЭБС ЮБУФШ -----------
Вложение не в текстовом формате было извлечено…
Имя     : C3.jpg
Тип     : image/jpeg
Размер  : 30516 байтов
Описание: отсутствует
Url     : http://weborto.net:8080/pipermail/ortho/attachments/20090706/32f84bd9/attachment-0004.jpg 
----------- УМЕДХЭБС ЮБУФШ -----------
Вложение не в текстовом формате было извлечено…
Имя     : C4.jpg
Тип     : image/jpeg
Размер  : 28496 байтов
Описание: отсутствует
Url     : http://weborto.net:8080/pipermail/ortho/attachments/20090706/32f84bd9/attachment-0005.jpg 


Подробная информация о списке рассылки Ortho