[Ortho] Картинки к моему сообщению о переломе надколенника

Batal Shushaniy batal2004 на mail.ru
Пт Июл 10 00:36:51 YEKST 2009


Извиняюсь. Я  не  смог прикрепить картиники  к  тексту сообщения. Прошу  прощения.

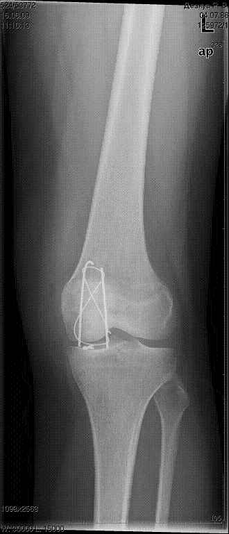
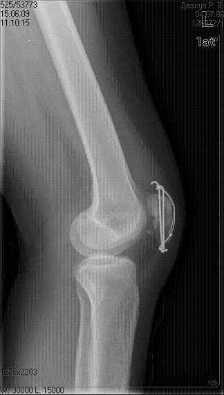
Цифровые  картиники это примерно 3,5  недели  посе  операции, 
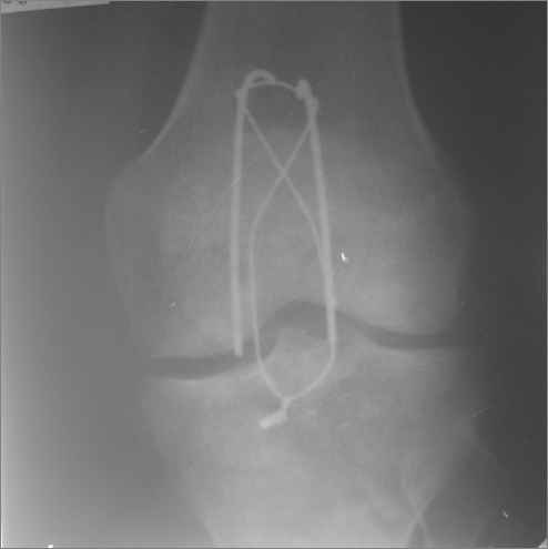
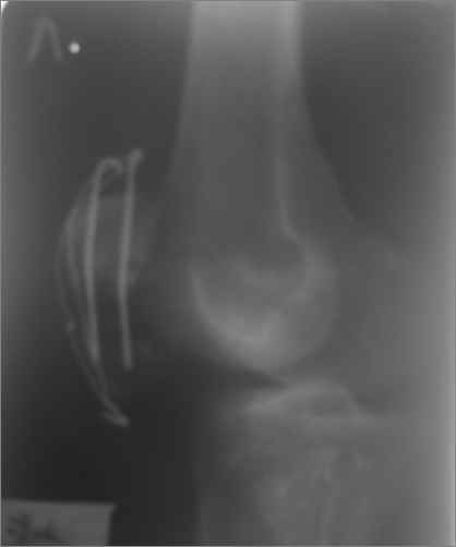
а рентгенкартинки на  пленке от 06.07.2009года  выполнены,  после разваливания  металлоконструкции.
Спасибо.

Батал Шушания, Московская  область
ФГУ  "3 ЦВКГ  имени  А. А. Вишневского  Миобороны  России"
----------- УМЕДХЭБС ЮБУФШ -----------
Вложение не в текстовом формате было извлечено…
Имя     : 06.07.2009 г.jpg
Тип     : image/jpeg
Размер  : 4443 байтов
Описание: отсутствует
Url     : http://weborto.net:8080/pipermail/ortho/attachments/20090710/17fd1643/attachment-0004.jpg 
----------- УМЕДХЭБС ЮБУФШ -----------
Вложение не в текстовом формате было извлечено…
Имя     : 06.07.2009г.jpg
Тип     : image/jpeg
Размер  : 5364 байтов
Описание: отсутствует
Url     : http://weborto.net:8080/pipermail/ortho/attachments/20090710/17fd1643/attachment-0005.jpg 
----------- УМЕДХЭБС ЮБУФШ -----------
Вложение не в текстовом формате было извлечено…
Имя     : 15.06.0903 3,5 недели  после операции.jpg
Тип     : image/jpeg
Размер  : 17335 байтов
Описание: отсутствует
Url     : http://weborto.net:8080/pipermail/ortho/attachments/20090710/17fd1643/attachment-0006.jpg 
----------- УМЕДХЭБС ЮБУФШ -----------
Вложение не в текстовом формате было извлечено…
Имя     : 15.06.0903 3,5 недели  после операции (2).jpg
Тип     : image/jpeg
Размер  : 13989 байтов
Описание: отсутствует
Url     : http://weborto.net:8080/pipermail/ortho/attachments/20090710/17fd1643/attachment-0007.jpg 


Подробная информация о списке рассылки Ortho