[Ortho] Ложный сустав и деформация плечевой кости

Abdurashid orthoforum на weborto.net
Пн Июл 13 23:17:51 YEKST 2009


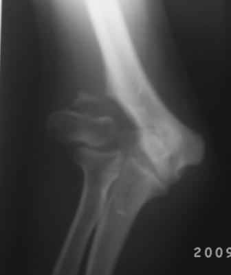
Уважаемые коллеги! Обратился больной 17 лет с жалобами на деформацию пр. локтевого сустава.
                
Травму получил 7 лет назад. Локально: вальгусная деформация л/с под углом 45гр., сгибание -30, разгибание-170гр., наружный мышелок плеча под пальцами подвижен, что интересно- мышелок плеча при пронации и супинации п/плечья вместе с головкой луча поднимается и опускается( см снимки).
Наш план:
1-этап. Клиновидная остеотомия на вершине деформации плечевой кости, или шарнирная, фиксация в аппарате Илизарова.
2- этап. Честно сказать, я сам еще не знаю, что делать? с этим ложным суставом!
Уважаемые коллеги! Помогите советом!
С уважением Абдурашид. 
----------- УМЕДХЭБС ЮБУФШ -----------
Вложение не в текстовом формате было извлечено…
Имя     : PICT0044.JPG
Тип     : image/jpeg
Размер  : 3764 байтов
Описание: отсутствует
Url     : http://weborto.net:8080/pipermail/ortho/attachments/20090713/88fcd79b/attachment-0003.jpeg 
----------- УМЕДХЭБС ЮБУФШ -----------
Вложение не в текстовом формате было извлечено…
Имя     : PICT0046.JPG
Тип     : image/jpeg
Размер  : 4143 байтов
Описание: отсутствует
Url     : http://weborto.net:8080/pipermail/ortho/attachments/20090713/88fcd79b/attachment-0004.jpeg 
----------- УМЕДХЭБС ЮБУФШ -----------
Вложение не в текстовом формате было извлечено…
Имя     : PICT0047.JPG
Тип     : image/jpeg
Размер  : 4544 байтов
Описание: отсутствует
Url     : http://weborto.net:8080/pipermail/ortho/attachments/20090713/88fcd79b/attachment-0005.jpeg 


Подробная информация о списке рассылки Ortho