[Ortho] Тяжёлая травма голени, остеомиелит

Alexander Chelnokov orthoforum на weborto.net
Ср Июл 15 00:21:29 YEKST 2009


Приветствую,

> 17 см. Метод Иллизарова является эфективным  при  дефектах
> большеберцовой кости  до 6-8 см. при удовлетворительном состоянии
> мягких  тканей в очаге  поражения.

Насчет 6-8 см - это сильно заниженная оценка, дефекты можно замещать практически любые.

> фиксации  конечности заметно возрастает( на 25-30%)  среднее  время
>  пребывания в аппарате пациентов с дефектом кости 16-20 см
> составляет около 13 месяцев.

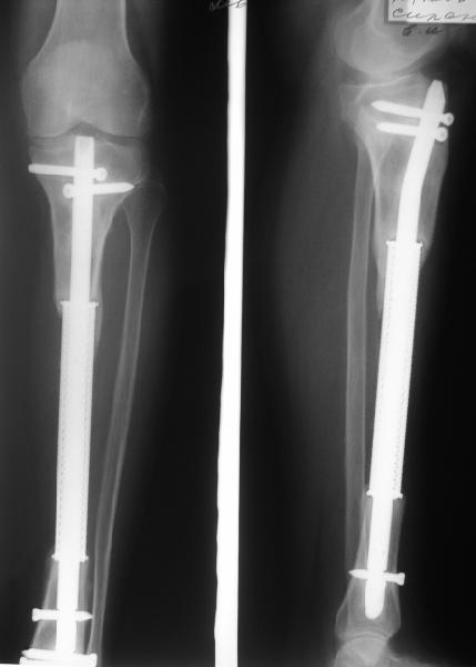
А зачем все время в аппарате пациента держать? Вчера гайки последний раз повернули, сегодня аппарата уже нет - внутрикостный стержень все 
удерживает. 

> администрация больницы доброжелательно отнесётся к такому койкодню,
> а на районе тоже маловероятно этим кто-то займётся. Кроме  того

В больнице пациенту надо быть периоперационный период, и появляться на контроль раз в 10-15 дней.
Безусловно, есть масса нюансов техники работы с аппаратом, и инфекцию надо учитывать, и состояние тканей. В эти детали нужно будет углубиться ближе к делу.

> Всё это заставило нас отказаться от этого варианта  лечения.

Стоило бы все взвесить еще раз, с учетом сегодняших представлений, а не 15-летней давности.
Вариант с перемещением малоберцовой тоже жизнеспособен, только внутрикостный стержень там не очень понятно, как лучше пристроить.

> Что касается замещения дефекта кейджем, то такой вариант почему-то

В приложении рентгенограмма через год после операции.

-- 
Best regards,
Alexander N. Chelnokov
Ural Scientific Research Institute
of Traumatology and Orthopaedics
7, Bankovsky str. Ekaterinburg 620014 Russia 
----------- УМЕДХЭБС ЮБУФШ -----------
Вложение не в текстовом формате было извлечено…
Имя     : get_image.jpg
Тип     : image/jpeg
Размер  : 19977 байтов
Описание: отсутствует
Url     : http://weborto.net:8080/pipermail/ortho/attachments/20090715/929dcab7/attachment-0001.jpg 


Подробная информация о списке рассылки Ortho