[Ortho] Foot deformation

Салимов Руслан orthoforum на weborto.net
Сб Июл 18 18:03:03 YEKST 2009


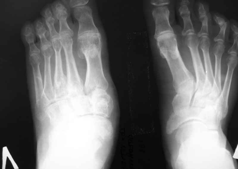
Больной с деформацией стопы Больной К., 36 лет. Травма в 2006 г.-падение с высоты. Лечился по
поводу перелома D- 12 позвонка с нижним парапарезом и оскольчатых переломов плюсневых
костей левой стопы. Производился остеосинтез переломов плюсневых костей левой стопы
спицами. В 2007 году произведена стабилизирующая операция на позвоночнике с ламинэктомией
и фиксацией металлоконструкцией и операция артродез левого голеностопного,
подтаранного, таранно-ладьевидного, межклиновидных суставов с фиксацией винтами. В 2008
г. часть винтов удалена. Больной отмечает появление парестезий и движений в пальцах обеих
стоп в этом году ( ежедневно пользуется миостимулятором Аб Троник). В настоящее время жалобы
на деформацию и нестабильность в левой стопе, боль в области голеностопного сустава, в
области пятки (проекция винта). При осмотре имеется плоско-вальгусная деформация левой
стопы, болезненность в пяточной области в проекции винта, тугоподвижность в области
шопарова сустава. На тыльной поверхности рубцы. План лечений: удаление винта с подошвенной
области, корригирующий реартродез в щопаровом суставе. Как удалить остатки винта?
Возможно понадобиться реартродез голеностопного или подтаранногосустава.

The patient with foot deformation. The patient, 36 years. Trauma in 2006 г.-falling from
height. It was treated in occasion of fractur D-12 vertebra with bottom paraparesis and
splintered fractures of metatarsal of left foot. The osteosynthesis of metatarsal bones was
made by wires. In 2007 stabilizing operation on a backbone with laminectomy and arthrodesis
of ankle,subtalar, talo-navicular, intecuneiform joints with fixing by screws . In 2008 the
part of screws is removed. The patient marks{celebrates} occurrence movements in fingers of
both stop in this year. Now patient complaints to deformation and instability in left stop, a
pain in the area of ankle joint and in the field of a heel (a projection of the screw). At survey
there is valgus and planus a deformation of left foot, morbidity in calcaneal area in a
projection of the screw,the motion in the midfoot. There are scars on a dorsal surface of foot.


Салимов Руслан
----------- УМЕДХЭБС ЮБУФШ -----------
Вложение не в текстовом формате было извлечено…
Имя     : SANY3551-1.jpg
Тип     : image/jpeg
Размер  : 64994 байтов
Описание: отсутствует
Url     : http://weborto.net:8080/pipermail/ortho/attachments/20090718/90eaaaf5/attachment-0001.jpg 


Подробная информация о списке рассылки Ortho