[Ortho] синтез мыщелка бедра

Артём orthoforum на weborto.net
Ср Июл 22 20:36:52 YEKST 2009


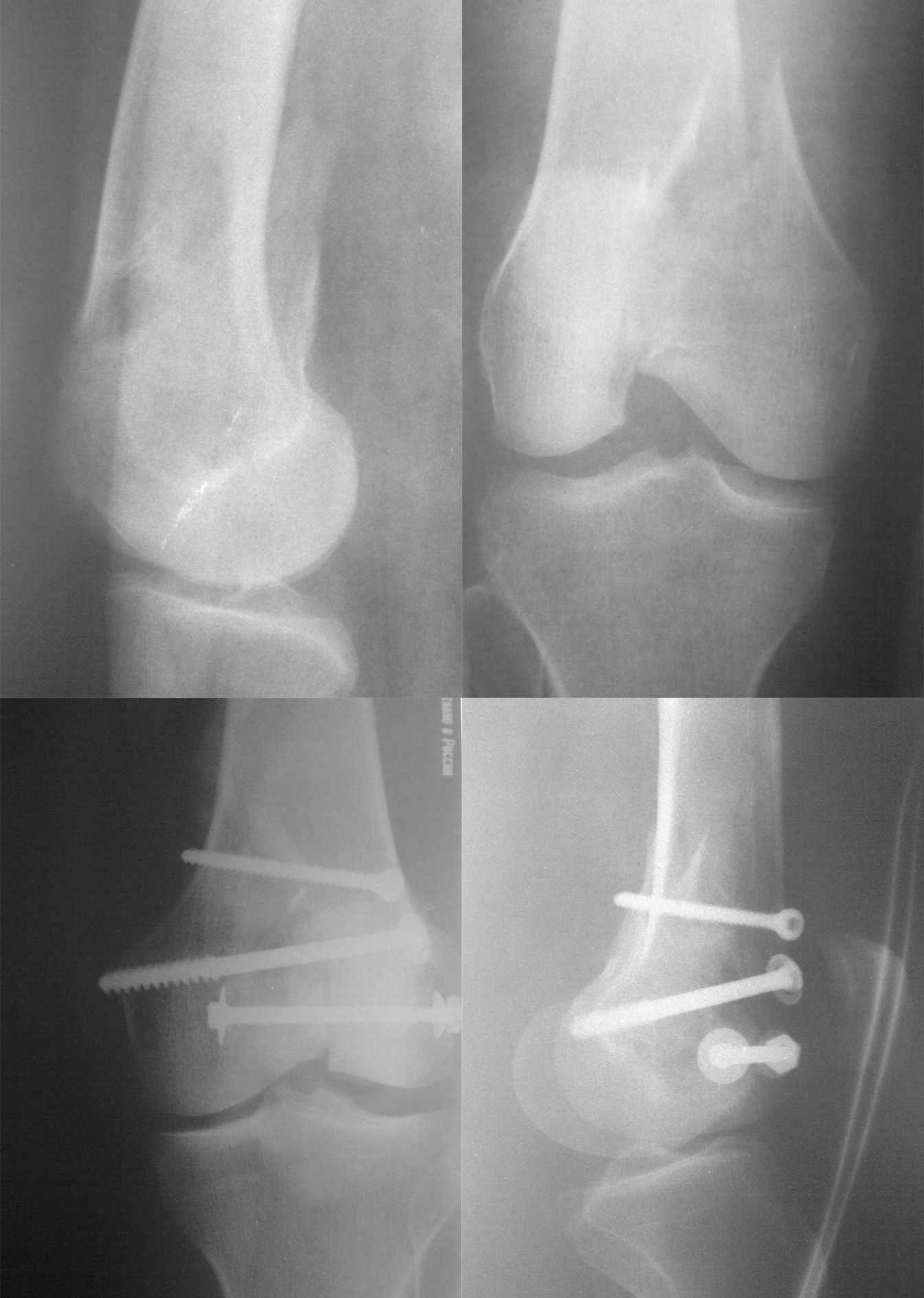
Уважаемые коллеги выскажите пожалуйста ваше мнение по поводу остеосинтеза свежего
перелома внутреннего мыщелка бедра
Артём

----------- УМЕДХЭБС ЮБУФШ -----------
Вложение не в текстовом формате было извлечено…
Имя     : 1.jpg
Тип     : image/jpeg
Размер  : 100570 байтов
Описание: отсутствует
Url     : http://weborto.net:8080/pipermail/ortho/attachments/20090722/17490854/attachment-0001.jpg 


Подробная информация о списке рассылки Ortho