[Ortho] Огнестрельный перелом бедра с дефектом кости.

Djoldas Kuldjanov orthoforum на weborto.net
Вс Июл 26 00:46:15 YEKST 2009


Несмотря на множественные публикация по тактике лечения огнестрельных переломов и по обработке огнестрельной раны, между сторонниками внутренней и наружной фиксации до сих пор идут споры о предпочтительности методов.

Многие коллеги уверены, что при огнестрельных повреждениях костей любая интервенция в фокусе травмы противопоказана. Также уверены, что гарантией успеха является "защита костного мозга" от интервенции любыми экстра или интрамедулярными имплантами, и поэтому метод лечения наружным фиксатором является популярным во многих странах, включая СНГ.

Возможно, это благодаря доминированию учения Илизарова, который создавал "комфорт и гордость", а ограниченный доступ к современным технологиям  в некоторых регионах на просторах страны вынуждал заниматься только "bloodless" лечением.


Мой собственный 15 летний опыт лечения огнестрельных переломов был представлен в прошлом году на конференции в Москве, и недавно по просьбе организаторов на первом Евро-Азиатском форуме Ортопедов в Иссык-Куле.

Но наш опыт лечения огнестрельных переломов не всегда принимается оппонентами доброжелательно, считают, что мы чересчур агрессивны, и, главное, наши подходы противоречат учению, принятому у  военных специалистов.

Не вдаваясь в дискуссии, какой метод лучше, я хотел бы поделиться нашим опытом лечения огнестрельных ран в условиях Level One Trauma Центра.

Свободный мир и свободный доступ к любому виду оружия создает свои проблемы в капиталистических странах. Мы, специалисты мирного времени, имеем достаточное количество больных с огнестрельными повреждениями, и для нас, ортопедов, стало рутинной задачей лечить таких больных.

Например, в нашем центре в течение года проходит около 250-350 пенетрирующих травм (в прошлом году 380) из них более 60% является огнестрельными.

Если в Ираке и в Афганистане преобладает минно-взрывные и травмы с высокой энергией, то мы имеем дело с персонально-атакующими видами оружия с разной кинетической энергией.

Повреждения, особенно низкоэнергетические, считаем открытыми переломами, и поэтому при лечении огнестрельных переломов соблюдаем те же принципы, что в лечении открытых повреждении костей.

При огнестрельных переломах ранами Первой и Второй степени по Gustilo при необходимости проводим как консервативную, так и оперативную методику лечения. Выбор метода фиксации всегда зависел от предпочтения специалиста, хотя в большинстве случаев преобладали накостные и интрамедуллярные методы.

 
Раны третьей степени, которые в последующем нуждаются в пластике мягких тканей, первоэтапно проводились в наружном фиксаторе типа "гибрид".
 

В последующем, почти все случаи конвертировались во внутренние фиксаторы - пластины или интрамедуллярные. Исключения были в тех случаях, когда было невозможно добиться адекватной фиксации из-за локализации линии перелома, например, при низких экстраартикулярных переломах голени. Такие переломы фиксировали с помощью  аппарата Илизарова и для стабильности вводили множество спиц в дистальном отделе.

Были единичные исключения, например, соматическое состояние больного, не позволяющие провести окончательную фиксацию, тогда оставляли фиксатор до сращения.

Обработку входного и выходного отверстия от пули проводили обычным способом: на уровне канала "кюретажем" и без агрессии в зоне перелома. В пользу такой обработки:  Проспективные рандомизированные клинические исследования показали I&D против обработки, где из 163 ОСР у 89 сделаны I&D, а 74 просто обработку без иссечения, в заключении 4 инфекции в первой и 2 инфекции во второй консервативной группе


Малые раны оставляли до заживления открытыми, они в большинстве случаев закрывались изнутри кнаружи в течение нескольких дней без осложнении, а иногда в течении нескольких недель.

Большие дефекты мягких тканей в зависимости от размера закрывали местной пластикой или кожной пластикой, а в больших дефектах прибегали к услугам пластических хирургов для ротационных или других покрытий.

Практика показала ущербность рекомендуемые в 80 годы военными специалистами тех глубоких ПХО, т.е. с иссечением якобы "нежизнеспособных отломков". Восстановление затягивалось неоправданно надолго, а иногда для восстановления сегментарного дефекта требовались годы.

Оставленные во время обработки нетронутые фрагменты со временем образуют основу костной мозоли. При недостаточности костной мозоли в последующем дефект восполнялся за счет аутопластики из минимального доступа.

Внутреннее кровоснабжение канала "запретная зона Илизарова" восстанавливалось в течение двух с половиной недель без осложнении после восстановления непрерывности канала.

Кроме мощных антибиотиков и современных имплантов, считаю, важную роль в успехе лечения внутренними фиксаторами играет методика обработки раны. 

Небольшое количество перекиси водорода и физиологический раствор не создают адекватной  ПХО. Без "ирригации и дебридмент" и общей анестезии невозможно очистить поверхность от частиц грязи и мертвой ткани.

Поступающая жидкость для промывания должна подаваться под давлением специальной Jet Lavage машинкой, не менее 5 литров, и в зависимости от загрязнения увеличивается количество жидкости до 10 литров.

Vacuum играет огромную роль в профилактике вторичного инфицирования.

Трудно решить, какой метод лучший, но при отсутствии технологии не всегда оправдана методика, рекомендуемая из-за океана или из других клиник, поэтому  лучше применить ту методику, к которой привыкли, иначе можно сыграть  роковую роль в неудаче лечения.

Обычно при осложнении больше оппонентов, чем доброжелателей, начиная от администрации, коллег, и самое главное - разочарование больного, который Вам доверил свою судьбу.

На Вашем месте мы бы сделали ретроградний интрамедуллярный штифт. Нагрузка с первых дней не самоцель, хотя 12 мм штифт с двумя интерлокинг винтами выдерживает вес 75 кг., но разработку сустава можно начать как можно быстрее.

Достаточно пары месяцев для определения нужды в дополнительной костной пластики.
 
Здесь несколько примеров из нашей практики:

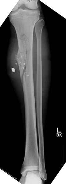
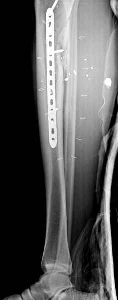
1 неполный перелом большеберцовой кости перкутанная пластина

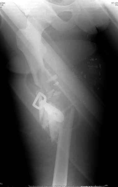
2 перелом бедра

3 такие раны после удаления пули и остатков одежды можно закрыть первично 

И последний



Djoldas Kuldjanov, MD
Department of Orthopedic Surgery
St. Louis University Medical Center
Djoldas Kuldjanov
----------- УМЕДХЭБС ЮБУФШ -----------
Вложение не в текстовом формате было извлечено…
Имя     : 1 GSW tibia.jpg
Тип     : image/jpeg
Размер  : 16233 байтов
Описание: отсутствует
Url     : http://weborto.net:8080/pipermail/ortho/attachments/20090726/b21ae3ea/attachment-0011.jpg 
----------- УМЕДХЭБС ЮБУФШ -----------
Вложение не в текстовом формате было извлечено…
Имя     : 2 GSW tibia lat.jpg
Тип     : image/jpeg
Размер  : 17816 байтов
Описание: отсутствует
Url     : http://weborto.net:8080/pipermail/ortho/attachments/20090726/b21ae3ea/attachment-0012.jpg 
----------- УМЕДХЭБС ЮБУФШ -----------
Вложение не в текстовом формате было извлечено…
Имя     : 3 GSW tibia. postop.jpg
Тип     : image/jpeg
Размер  : 17087 байтов
Описание: отсутствует
Url     : http://weborto.net:8080/pipermail/ortho/attachments/20090726/b21ae3ea/attachment-0013.jpg 
----------- УМЕДХЭБС ЮБУФШ -----------
Вложение не в текстовом формате было извлечено…
Имя     : 4 GSW tibia. postop lat.jpg
Тип     : image/jpeg
Размер  : 19228 байтов
Описание: отсутствует
Url     : http://weborto.net:8080/pipermail/ortho/attachments/20090726/b21ae3ea/attachment-0014.jpg 
----------- УМЕДХЭБС ЮБУФШ -----------
Вложение не в текстовом формате было извлечено…
Имя     : 1 GSW.jpg
Тип     : image/jpeg
Размер  : 16781 байтов
Описание: отсутствует
Url     : http://weborto.net:8080/pipermail/ortho/attachments/20090726/b21ae3ea/attachment-0015.jpg 
----------- УМЕДХЭБС ЮБУФШ -----------
Вложение не в текстовом формате было извлечено…
Имя     : 2 GSW exfix.jpg
Тип     : image/jpeg
Размер  : 16470 байтов
Описание: отсутствует
Url     : http://weborto.net:8080/pipermail/ortho/attachments/20090726/b21ae3ea/attachment-0016.jpg 
----------- УМЕДХЭБС ЮБУФШ -----------
Вложение не в текстовом формате было извлечено…
Имя     : 3 GSW final ap.jpg
Тип     : image/jpeg
Размер  : 25174 байтов
Описание: отсутствует
Url     : http://weborto.net:8080/pipermail/ortho/attachments/20090726/b21ae3ea/attachment-0017.jpg 
----------- УМЕДХЭБС ЮБУФШ -----------
Вложение не в текстовом формате было извлечено…
Имя     : 4 GSW final lat.jpg
Тип     : image/jpeg
Размер  : 18190 байтов
Описание: отсутствует
Url     : http://weborto.net:8080/pipermail/ortho/attachments/20090726/b21ae3ea/attachment-0018.jpg 
----------- УМЕДХЭБС ЮБУФШ -----------
Вложение не в текстовом формате было извлечено…
Имя     : GSW forearm.jpg
Тип     : image/jpeg
Размер  : 42694 байтов
Описание: отсутствует
Url     : http://weborto.net:8080/pipermail/ortho/attachments/20090726/b21ae3ea/attachment-0019.jpg 
----------- УМЕДХЭБС ЮБУФШ -----------
Вложение не в текстовом формате было извлечено…
Имя     : GSW forearm 2.jpg
Тип     : image/jpeg
Размер  : 39323 байтов
Описание: отсутствует
Url     : http://weborto.net:8080/pipermail/ortho/attachments/20090726/b21ae3ea/attachment-0020.jpg 
----------- УМЕДХЭБС ЮБУФШ -----------
Вложение не в текстовом формате было извлечено…
Имя     : Proximal femur GSW.jpg
Тип     : image/jpeg
Размер  : 20235 байтов
Описание: отсутствует
Url     : http://weborto.net:8080/pipermail/ortho/attachments/20090726/b21ae3ea/attachment-0021.jpg 


Подробная информация о списке рассылки Ortho