[Ortho] псевдоартроз большеберцовой кости

Александр orthoforum на weborto.net
Вт Июн 2 16:46:40 YEKST 2009


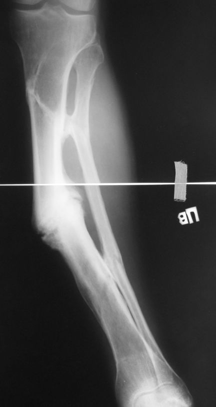
Уважаемые коллеги. Имеется вот такой псевдоартроз. Планируем БИОС tibia стержнем Chm,
остеотомию малоберцовой и большеберцовой через зону псевдоартроза. Вопрос! Коррекцию
лучше сделать одномоментно во время операции или дозированно в аппарате недели за 2-3, а
потом nailing? И ещё делать нормо или с учетом вальгуса гиперкоррекцию? Заранее спасибо за
советы!

Митрофанов А.И. г. Курган

----------- УМЕДХЭБС ЮБУФШ -----------
Вложение не в текстовом формате было извлечено…
Имя     : 1.JPG
Тип     : image/jpeg
Размер  : 27561 байтов
Описание: отсутствует
Url     : http://weborto.net:8080/pipermail/ortho/attachments/20090602/c6719271/attachment-0001.jpeg 


Подробная информация о списке рассылки Ortho