[Ortho] Фиброз коленного суства

Denis Rimashevsky orthoforum на weborto.net
Вт Июн 2 19:19:31 YEKST 2009


Уважаемые коллеги,
Прошу совета.
В феврале 2007 года пациентке выполнено эндопротезирование коленного сустава.

Через 1 месяц после операции объем движений 90 градусов, через 2 месяца 60, через 3 - 40, через 5 - качательные движения.

В июле 2007 года выполнена ревизия - полости сустава нет. Капсула сустава имеет толщину от 1 до 1.5 см, собственная связка надколенника имеет толщину до 3 см. Сустав заполнен фиброзно-рубцовой тканью. Компоненты стабильны.

Резецирована капсула, удалены фиброзные ткани из сустава. В области межмыщелковой ямки на бедре обнаружены 2 канала уходящих в мыщелки и проксимально, глубиной до 2 см и диаметром до 1 см. Выскаблены и заполнены синтетическим костным трансплантатом с ванкомицином.Взяты ткани из разных отделов сустава для бак. исследования.

Рана ушита с объемом движений до 70 градусов.По результатам анализов - все стерильно. Как и в посеве крови.
4 недели антибиотикотерапия.
Активная ЛФК. Через 6 месяцев - движения качательные.

Осевая нагрузка практически безболезненна.
Первое время после ревизии периодически беспокоили озноб, локальное повышение температуры в области сустава. В последнее время этого практически нет.
В анализах - придраться можно только к СОЭ - 27.

Есть вопросы к установке протеза.
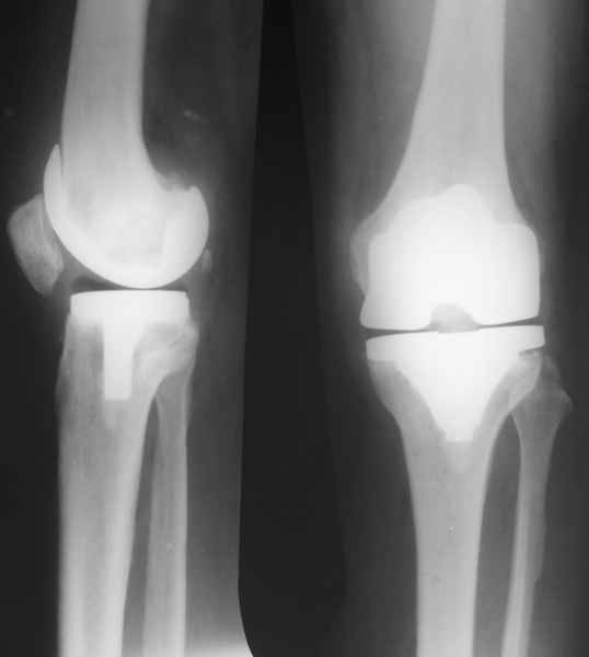
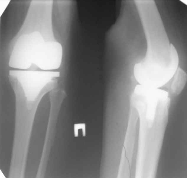
Скорее всего тибиальное плато было не конца резецировано и в задненаружных отделах осталась ступенька. Это привело к тому, что тибиальный компонент завалился на варус.

Можно пойти на повторную ревизию, удалить большеберцовый компонент и поставить его правильно, но как справиться с артрофиброзом?

Надо ли вести случай как нагноение с удалением протеза и установкой спейсера?

Заранее благодарен,

С уважением, Римашевский Д.
----------- УМЕДХЭБС ЮБУФШ -----------
Вложение не в текстовом формате было извлечено…
Имя     : 13 02 07.jpg
Тип     : image/jpeg
Размер  : 8788 байтов
Описание: отсутствует
Url     : http://weborto.net:8080/pipermail/ortho/attachments/20090602/5628adae/attachment-0005.jpg 
----------- УМЕДХЭБС ЮБУФШ -----------
Вложение не в текстовом формате было извлечено…
Имя     : 14 01 09.jpg
Тип     : image/jpeg
Размер  : 8751 байтов
Описание: отсутствует
Url     : http://weborto.net:8080/pipermail/ortho/attachments/20090602/5628adae/attachment-0006.jpg 
----------- УМЕДХЭБС ЮБУФШ -----------
Вложение не в текстовом формате было извлечено…
Имя     : 25 07 07.jpg
Тип     : image/jpeg
Размер  : 9625 байтов
Описание: отсутствует
Url     : http://weborto.net:8080/pipermail/ortho/attachments/20090602/5628adae/attachment-0007.jpg 
----------- УМЕДХЭБС ЮБУФШ -----------
Вложение не в текстовом формате было извлечено…
Имя     : 26 06 08.jpg
Тип     : image/jpeg
Размер  : 7980 байтов
Описание: отсутствует
Url     : http://weborto.net:8080/pipermail/ortho/attachments/20090602/5628adae/attachment-0008.jpg 
----------- УМЕДХЭБС ЮБУФШ -----------
Вложение не в текстовом формате было извлечено…
Имя     : Дек 2007.jpg
Тип     : image/jpeg
Размер  : 9317 байтов
Описание: отсутствует
Url     : http://weborto.net:8080/pipermail/ortho/attachments/20090602/5628adae/attachment-0009.jpg 


Подробная информация о списке рассылки Ortho