[Ortho] псевдоартроз большеберцовой кости

Alexander Chelnokov alex на weborto.net
Вт Июн 2 19:56:57 YEKST 2009


Dear Александр.

You wrote 2 июня 2009 г., 16:46:40:

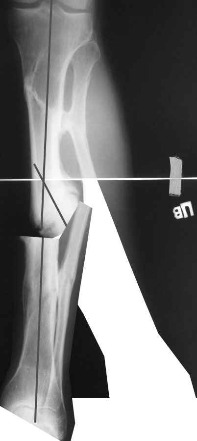
А> лучше сделать одномоментно во время операции или дозированно в аппарате недели за 2-3, а
А> потом nailing? И ещё делать нормо или с учетом вальгуса гиперкоррекцию?

Одномоментно такой угол устранить трудно, сильно натянутся ткани по
наружной поверхности голени. Может и стопа повиснуть. А что по второй
проекции?
Мы бы сделали после остеотомии малоберцовой и аппаратной коррекции.
Большеберцовую можно исправить за счет растяжения пседартроза. Можно
и сделать поперечную остеотомию чуть дистальнее несращения, в этом
случае будет удобный вход в периферический отломок. А зону несращения
пройти разверткой просто по прямой. Схема в приложении.

-- 
Best regards,
Alexander N. Chelnokov
Ural Scientific Research Institute
of Traumatology and Orthopaedics
7, Bankovsky str. Ekaterinburg 620014 Russia 
-------------- next part --------------
A non-text attachment was scrubbed...
Name: 0322b.jpg
Type: image/jpeg
Size: 25046 bytes
Desc: not available
Url : http://weborto.net:8080/pipermail/ortho/attachments/20090602/6adca558/attachment-0001.jpg 


Подробная информация о списке рассылки Ortho