[Ortho] неправильно фиксированный перелом

Alexander Chelnokov alex на weborto.net
Чт Июн 4 10:38:42 YEKST 2009


Dear Коваленко,

Wednesday, June 3, 2009, 1:48:59 AM, you wrote:

КА> Но почему решение динамизировать на сроке 8 недель с полным

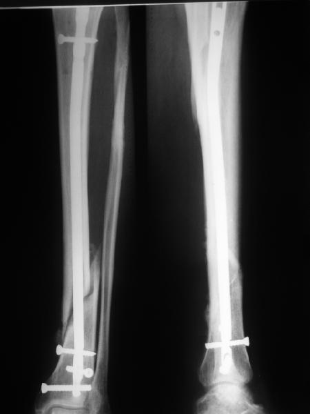
В приложении картинка пациента со сломанным внизу гвоздем. Начал
лечение в другом учреждении. Еще и адвокат к тому же.
Динамизировали через 8 недель, а оно поползло больше, чем хотелось бы.


-- 
Best regards,
 Alexander N. Chelnokov
Ural Scientific Research Institute 
of Traumatology and Orthopaedics
7, Bankovsky str. Ekaterinburg 620014 Russia
-------------- next part --------------
A non-text attachment was scrubbed...
Name: get_image.jpg
Type: image/jpeg
Size: 17487 bytes
Desc: not available
Url : http://weborto.net:8080/pipermail/ortho/attachments/20090604/0b544784/attachment.jpg 


Подробная информация о списке рассылки Ortho