[Ortho] (без темы)

Anton Bekhterev ab на ctsnet.ru
Вс Июн 28 13:16:35 YEKST 2009


Коллектив 1-травматологического отделения МЛПУ ГБСМП-2 г.Ростова-на-Дону сердечно поздравляет уважаемого Лазарева Анатолия Федоровича с днем рождения. Желаем яркой, насыщенной встречами и успехами жизни, крепкого здоровья, полных положительными эмоциями перемен. В качестве подарка хотим представить клинический случай, решение которого стало возможным благодаря новаторским идеям именинника.
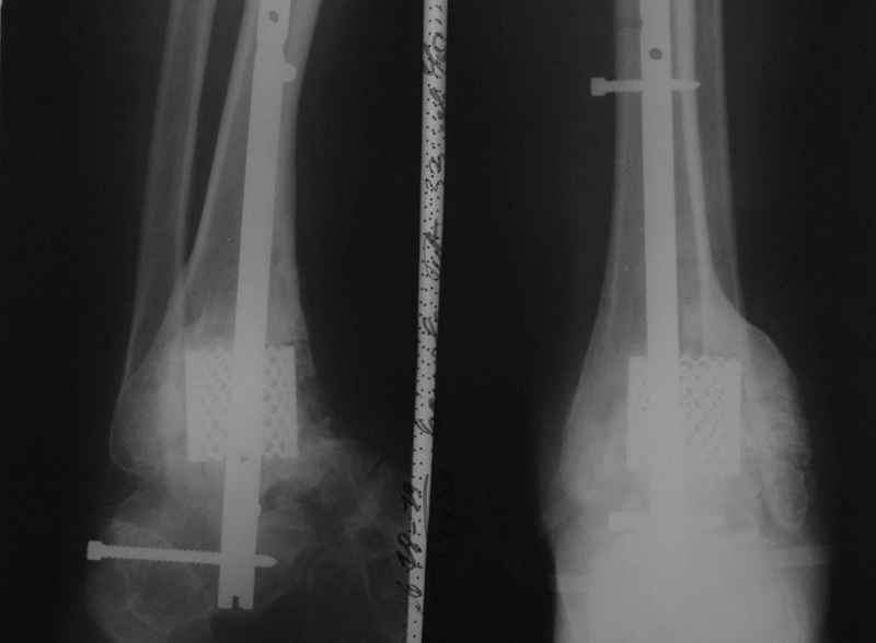
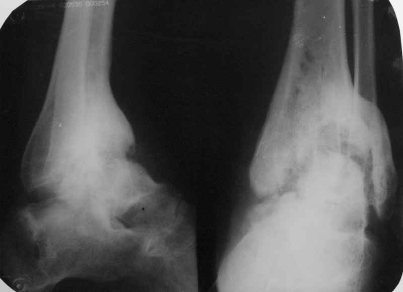
Пациентка Б. получила травму 2001 году в результате падения с высоты. За это время дважды выполнялись неудачные попытки артродезирования голеностопного сустава. Больная перед нами поставила одну задачу - восстановить опороспосонбность левой нижней конечности и только. Принято решение выполнить кейдж-артродезирование левого голеностопного сустава блокируемым интрамедуллярным гвоздем с установкой сетчатого опорного трансплантата, костной аутопластикой плюс Chronos. С целью профилактики рецидива деформации выполнили ахиллотомию (считаем, что неудачи предшествующих операций связаны с варусной тягой ахиллова сухожилия в ррезцльтате неправильно сросшегося перелома пяточной кости). На сегодняшний день - два месяца с момента операции. Пациентка перемещается в циркулярной повязке с полной нагрузкой на больную ногу.
Примите наши радушные поздравления Анатолий Федорович.
                 mailto:ab на ctsnet.ru
----------- УМЕДХЭБС ЮБУФШ -----------
Вложение не в текстовом формате было извлечено…
Имя     : _MG_4199.jpg
Тип     : image/jpeg
Размер  : 29986 байтов
Описание: отсутствует
Url     : http://weborto.net:8080/pipermail/ortho/attachments/20090628/02cdc76f/attachment-0008.jpg 
----------- УМЕДХЭБС ЮБУФШ -----------
Вложение не в текстовом формате было извлечено…
Имя     : _MG_4200.jpg
Тип     : image/jpeg
Размер  : 30419 байтов
Описание: отсутствует
Url     : http://weborto.net:8080/pipermail/ortho/attachments/20090628/02cdc76f/attachment-0009.jpg 
----------- УМЕДХЭБС ЮБУФШ -----------
Вложение не в текстовом формате было извлечено…
Имя     : _MG_4206.jpg
Тип     : image/jpeg
Размер  : 28321 байтов
Описание: отсутствует
Url     : http://weborto.net:8080/pipermail/ortho/attachments/20090628/02cdc76f/attachment-0010.jpg 
----------- УМЕДХЭБС ЮБУФШ -----------
Вложение не в текстовом формате было извлечено…
Имя     : _MG_4206_1.jpg
Тип     : image/jpeg
Размер  : 30320 байтов
Описание: отсутствует
Url     : http://weborto.net:8080/pipermail/ortho/attachments/20090628/02cdc76f/attachment-0011.jpg 
----------- УМЕДХЭБС ЮБУФШ -----------
Вложение не в текстовом формате было извлечено…
Имя     : _MG_4206_2.jpg
Тип     : image/jpeg
Размер  : 34342 байтов
Описание: отсутствует
Url     : http://weborto.net:8080/pipermail/ortho/attachments/20090628/02cdc76f/attachment-0012.jpg 
----------- УМЕДХЭБС ЮБУФШ -----------
Вложение не в текстовом формате было извлечено…
Имя     : _MG_4223.jpg
Тип     : image/jpeg
Размер  : 51345 байтов
Описание: отсутствует
Url     : http://weborto.net:8080/pipermail/ortho/attachments/20090628/02cdc76f/attachment-0013.jpg 
----------- УМЕДХЭБС ЮБУФШ -----------
Вложение не в текстовом формате было извлечено…
Имя     : _MG_4229.jpg
Тип     : image/jpeg
Размер  : 46455 байтов
Описание: отсутствует
Url     : http://weborto.net:8080/pipermail/ortho/attachments/20090628/02cdc76f/attachment-0014.jpg 
----------- УМЕДХЭБС ЮБУФШ -----------
Вложение не в текстовом формате было извлечено…
Имя     : _MG_4241.jpg
Тип     : image/jpeg
Размер  : 23914 байтов
Описание: отсутствует
Url     : http://weborto.net:8080/pipermail/ortho/attachments/20090628/02cdc76f/attachment-0015.jpg 


Подробная информация о списке рассылки Ortho