[Ortho] низведение надколенника

Leonid Solomin solomin.leonid на gmail.com
Пн Июн 29 20:39:53 YEKST 2009


Уважаемый Глеб Владимирович!
К сожалению, подобное осложнение "нет-нет да и возникает" при
удлинении, коррекции деформации голени. В англоязычной литературе оно
описано как "patella baja". Один из вариантов лечения - проксимальное
перемещение надколенника приемами чрескостного остеосинтеза.

Всего наилучшего,
Л.Соломин

2009/6/28 Глеб Коробушкин <kgleb на mail.ru>:
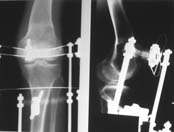
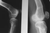
> Пациент В. 53 лет, травма в феврале 2009. ДЗ. Открытый оскольчатый перелом нижней трети голени. При боли поступлении выполено ПХО, аппарат Илизарова. В последующем проводили ВХО, резекция костных отломков, укорочение 6 см, рана зажила. Была выполнена остеотомия большеберцовой кости в проксимальном отделе, резекция. Производилось тракция.
> На последних рентгенограммах выявлено, что одновременно с "выращиванием" регенерата произошло низведение надколенника  на длину выращенного регенерата.
> Клинически: активное разгибание сохранено, объем движений в колене 180-110 градусов.  Черными стрелками обозначен верхний край надколенника с одной и с другой стороны. Красная стрелка обозначает пальпируемую связку надколенника.
> Причина - остеотомия выше места прикрепления связки надколенника.
> Вопрос: была ли у кого подобная ситуация? Что делать?
> При первом обдумывании приходит решение: отсечение места прикрепления связки надколенника с костным блоком, перемещение на "правильное" место, укорочение сухожилия четырехглавой мышцы.
>
> С ув Коробушкин Глеб
> 27.06.09
>
> _______________________________________________
> Ortho mailing list
> Ortho на weborto.net
> http://weborto.net:8080/mailman/listinfo/ortho
>
>



-- 
Leonid N.Solomin, MD, PhD
Professor of Orthopaedic Surgery
Head of ExFix Department
R.R.Vreden Russian Research Institute of Traumatology and Orthopedics
8 Baykova Str., St.Petersburg, 195427, Russia
Phones: 7(812)556-3971, 550-9596
E-mail: solomin.leonid на gmail.com
http://rniito.org/solomin
----------- следущая часть -----------
Вложение не в текстовом формате было извлечено&hellip;
Имя     : pb-1.jpg
Тип     : image/jpeg
Размер  : 26870 байтов
Описание: отсутствует
Url     : http://weborto.net:8080/pipermail/ortho/attachments/20090629/bbbfa464/attachment-0003.jpg 
----------- следущая часть -----------
Вложение не в текстовом формате было извлечено&hellip;
Имя     : pb-2.jpg
Тип     : image/jpeg
Размер  : 34595 байтов
Описание: отсутствует
Url     : http://weborto.net:8080/pipermail/ortho/attachments/20090629/bbbfa464/attachment-0004.jpg 
----------- следущая часть -----------
Вложение не в текстовом формате было извлечено&hellip;
Имя     : pb-3.jpg
Тип     : image/jpeg
Размер  : 27770 байтов
Описание: отсутствует
Url     : http://weborto.net:8080/pipermail/ortho/attachments/20090629/bbbfa464/attachment-0005.jpg 


Подробная информация о списке рассылки Ortho