[Ortho] Ложный сустав вертельной области бедра.

Leonid Solomin solomin.leonid на gmail.com
Вт Мар 3 20:30:17 YEKT 2009


Уважаемый Попов Виктор!
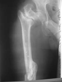
Возможно, пример (в приложении) поможет Вам определиться с выбором
тактики лечения (у нашего пациента, кроме тугого ложного сустава
вертельной области, сложная деформация н/3 бедренной кости; т.к. это
не имеет значения к обсуждаемой теме - оставил "за кадром"). Как Вы
видите, мы в данном случае не вводили чрескостные элементы в зону
установки имплантата. При отказе от наложения опоры на таз (кстати,
она не обязательно может быть громоздкая спицевая; арки со
стержнями-шурупами, введенными в крыло подвздошной вполне достаточно)
"не удивляйтесь", если опора со стержнями-шурупами, введенными в
вертельной области в скором времени дестабилизируется, возникнет
воспаление мягких тканей у чрескостных элементов. Такая опора "имеет
на это право": нагрузка конечности от вершины дистального фрагмента до
кончиков пальцев ляжет на нее. А двух-трех введенных рядом
стержней-шурупов, как их не разноси от фронтальной плоскости, в данном
случае явно недостаточно для адекватной фиксации. + для того, чтобы
выбрать оптимальные чрескостные элементы для промежуточной и
дистальной опор, можете воспользоваться атласом
http://rniito.org/solomin/download/atlas-rus.zip

Всего наилучшего,
Л.Соломин

28 февраля 2009 г. 8:38 пользователь Попов  Виктор. г.Караганда
<orthoforum на weborto.net> написал:
> Уважаемые коллеги! Нужен совет. Больной Х., 21 год, ДЗ: ложный сустав вертельной области
> правого бедра. Травма 8 мес. назад, ДТП, получил закрытый межвертельный перелом правого
> бедра. Лечился в городской больнице одного из городов-спутников г. Караганды скелетным
> вытяжением в течение 3 недель, затем кокситной гипсовой повязкой 2 мес.
>
>
> В настоящее время имеется укорочение конечности на 7 см, умеренная
> боль в вертельной области; ходит без костылей, полностью нагружая
> больную конечность, при нагрузке отмечается смещение дистального
> отломка проксимально примерно на 1,0 см.; объем движений в коленном
> суставе сохранен; при пальпации отломков боли нет, умеренная
> патологическая подвижность.
>
> Планируем внеочаговый остеосинтез спице-стержневым аппаратом,
> дистракция до восстановления длины бедра, вторым этапом остеосинтез
> стержнем Гамма. Есть надежда, что на дистракции пойдет сращение и у
> больного хватит терпения завершить лечение в аппарате.
>
> Компоновка аппарата: три стержня в центральный отломок на полукольце
> или сегменте, кольцо с тремя спицами в зоне мыщелков бедра, две из
> них с упорными площадками; по стержню в конец дистального отломка и
> диафиз. Нуждаемся в советах:
>
> 1. правильно ли выбрана тактика лечения
> 2. какую оптимальную компоновку аппарата посоветуете
>
> 3. темп дистракции: дистракция с надеждой сформировать регенерат или
> форсировать с целью быстрого восстановления длины бедра
> 4. следует ли  открывать зону ложного сустава, нужна ли костная пластика
>
> 5. каким видится окончательный вариант фиксации отломков (как вариант - остеосинтез DHS)
> 6. сроки проведения второго этапа операции.
>
> 7. есть ли шанс, открыв зону перелома, восстановить длину сегмента и фиксировать отломки одномоментно
>
> Попов  Виктор. г.Караганда
>
> _______________________________________________
> Ortho mailing list
> Ortho на weborto.net
> http://weborto.net:8080/mailman/listinfo/ortho
>
>



-- 
Leonid N.Solomin, MD, PhD
Head of ExFix Department
R.R.Vreden Russian Research Institute of Traumatology and Orthopedics
8 Baykova Str., St.Petersburg, 195427, Russia
Phones: 7(812)556-3971, 550-9596
E-mail: solomin.leonid на gmail.com
http://rniito.org/solomin
----------- следущая часть -----------
Вложение не в текстовом формате было извлечено&hellip;
Имя     : Ivanov-1.jpg
Тип     : image/jpeg
Размер  : 30412 байтов
Описание: отсутствует
Url     : http://weborto.net:8080/pipermail/ortho/attachments/20090303/bd92e132/attachment-0004.jpg 
----------- следущая часть -----------
Вложение не в текстовом формате было извлечено&hellip;
Имя     : Ivanov-2.jpg
Тип     : image/jpeg
Размер  : 38159 байтов
Описание: отсутствует
Url     : http://weborto.net:8080/pipermail/ortho/attachments/20090303/bd92e132/attachment-0005.jpg 
----------- следущая часть -----------
Вложение не в текстовом формате было извлечено&hellip;
Имя     : Ivanov-3.jpg
Тип     : image/jpeg
Размер  : 35068 байтов
Описание: отсутствует
Url     : http://weborto.net:8080/pipermail/ortho/attachments/20090303/bd92e132/attachment-0006.jpg 
----------- следущая часть -----------
Вложение не в текстовом формате было извлечено&hellip;
Имя     : Ivanov-4.jpg
Тип     : image/jpeg
Размер  : 29176 байтов
Описание: отсутствует
Url     : http://weborto.net:8080/pipermail/ortho/attachments/20090303/bd92e132/attachment-0007.jpg 


Подробная информация о списке рассылки Ortho