[Ortho] Ложный сустав вертельной области бедра.

Alexander Chelnokov alex на weborto.net
Ср Мар 4 00:13:15 YEKT 2009


Dear Leonid.

You wrote 3 марта 2009 г., 20:30:17:

LS> видите, мы в данном случае не вводили чрескостные элементы в зону
LS> установки имплантата. При отказе от наложения опоры на таз (кстати,
LS> она не обязательно может быть громоздкая спицевая; арки со
LS> стержнями-шурупами, введенными в крыло подвздошной вполне достаточно)

Дорогой Леонид, спасибо за интересный пример.
В этом случае, по-моему, аппаратный этап не был уж настолько важен.
При использовании DHS или клинковой пластины при таком исходном
положении отломокв можно было делать и одномоментную коррекцию.
Срубить латеральную стенку периферического отломка для облегчения
вальгизации.

LS> вертельной области в скором времени дестабилизируется, возникнет
LS> воспаление мягких тканей у чрескостных элементов. Такая опора "имеет
LS> на это право": нагрузка конечности от вершины дистального фрагмента до
LS> кончиков пальцев ляжет на нее.

Здесь ожидаемо прорезание тканей. Благодаря нагрузке опора
напряжена, и оттого стабильна, как танк. Сооветственно, в период
коррекции воспаление менее вероятно, чем в период фиксации аппаратом,
когда все и начинает расшатываться.
Если, конечно, стержни проведены так, что усилие не реализуется в
виде их проворачивания в кости. 

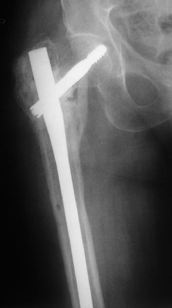
В приложении пример пациента, близкого по картине к тому, что
представил Виктор (варус и смещение периферического отломка на
поперечник кзади). Сделали как раз то, что Виктор исходно намеревался
- аппаратная коррекция и затем гамма.

-- 
Best regards,
Alexander N. Chelnokov
Ural Scientific Research Institute
of Traumatology and Orthopaedics
7, Bankovsky str. Ekaterinburg 620014 Russia 
-------------- next part --------------
A non-text attachment was scrubbed...
Name: get_image1.jpg
Type: image/jpeg
Size: 18393 bytes
Desc: not available
Url : http://weborto.net:8080/pipermail/ortho/attachments/20090304/18657049/attachment-0008.jpg 
-------------- next part --------------
A non-text attachment was scrubbed...
Name: get_image2.jpg
Type: image/jpeg
Size: 13584 bytes
Desc: not available
Url : http://weborto.net:8080/pipermail/ortho/attachments/20090304/18657049/attachment-0009.jpg 
-------------- next part --------------
A non-text attachment was scrubbed...
Name: get_image3.jpg
Type: image/jpeg
Size: 23899 bytes
Desc: not available
Url : http://weborto.net:8080/pipermail/ortho/attachments/20090304/18657049/attachment-0010.jpg 
-------------- next part --------------
A non-text attachment was scrubbed...
Name: get_image4.jpg
Type: image/jpeg
Size: 14799 bytes
Desc: not available
Url : http://weborto.net:8080/pipermail/ortho/attachments/20090304/18657049/attachment-0011.jpg 
-------------- next part --------------
A non-text attachment was scrubbed...
Name: get_image5.jpg
Type: image/jpeg
Size: 12748 bytes
Desc: not available
Url : http://weborto.net:8080/pipermail/ortho/attachments/20090304/18657049/attachment-0012.jpg 
-------------- next part --------------
A non-text attachment was scrubbed...
Name: get_image6.jpg
Type: image/jpeg
Size: 17362 bytes
Desc: not available
Url : http://weborto.net:8080/pipermail/ortho/attachments/20090304/18657049/attachment-0013.jpg 
-------------- next part --------------
A non-text attachment was scrubbed...
Name: get_image7.jpg
Type: image/jpeg
Size: 16073 bytes
Desc: not available
Url : http://weborto.net:8080/pipermail/ortho/attachments/20090304/18657049/attachment-0014.jpg 
-------------- next part --------------
A non-text attachment was scrubbed...
Name: get_image8.jpg
Type: image/jpeg
Size: 7121 bytes
Desc: not available
Url : http://weborto.net:8080/pipermail/ortho/attachments/20090304/18657049/attachment-0015.jpg 


Подробная информация о списке рассылки Ortho