[Ortho] Псевдартроз бедра в вертельной области, аваскулярный некроз головки бедра

Гарник Давтян orthoforum на weborto.net
Сб Мар 7 23:28:03 YEKT 2009


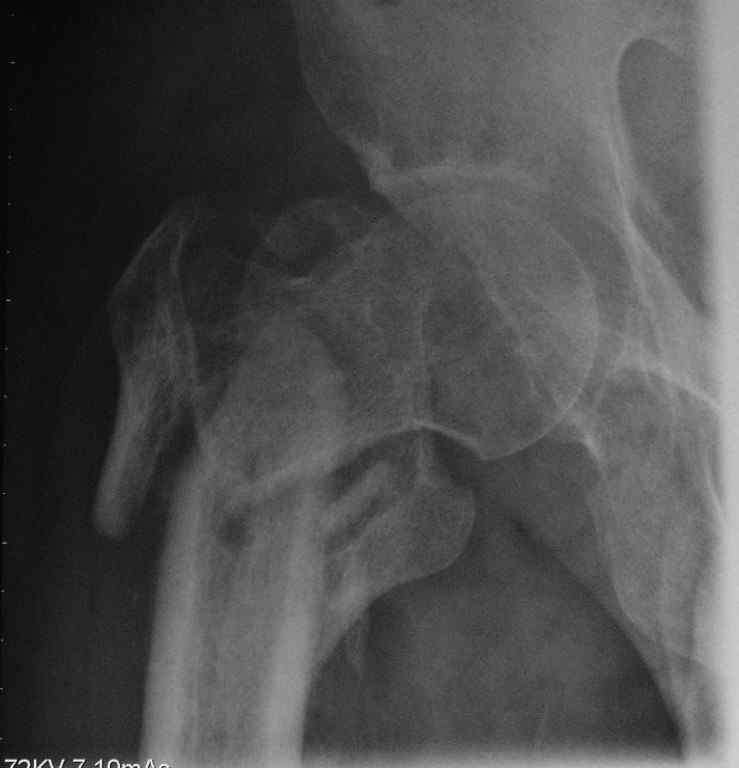
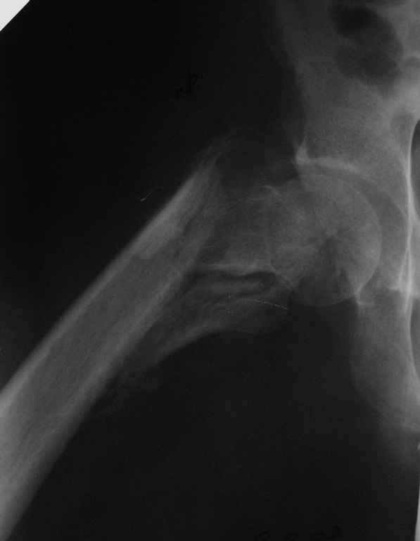
Пациент сорока лет с псевдартрозом правого бедра - исход оскольчатого чрезвертельного
перелома с отрывом большого и малого вертелов. Поступил через 8 месяцев после травмы.

По месту жительства лечили следующим образом: 2 месяца скелетное вытяжение, затем 2 месяца в
кокситной повязке. После снятия гипса дали нагрузку. В настоящий момент имеется укорочение
6 см. Патологическая подвижность. По данным КТ - сращения нет, имеется аваскулярный некроз
головки 2 стадии. В данном случае показано эндопротезирование тазобедренного сустава.
Просим уважаемых коллег ответить на вопросы, которые возникли у нас по этому больному: 1.
Имеет ли смысл выполнять первым этапом остеосинтез псевдартроза, учитывая, что нагрузка на
сустав при наличии АНГБ противопоказана? 2. Возможно ли технически сразу выполнить
эндопротезирование при наличии такого псевдартроза?
Гарник Давтян
----------- следущая часть -----------
Вложение не в текстовом формате было извлечено…
Имя     : P1010005.jpg
Тип     : image/jpeg
Размер  : 13110 байтов
Описание: отсутствует
Url     : http://weborto.net:8080/pipermail/ortho/attachments/20090307/94f4dc5f/attachment-0002.jpg 
----------- следущая часть -----------
Вложение не в текстовом формате было извлечено…
Имя     : P1010006.jpg
Тип     : image/jpeg
Размер  : 15387 байтов
Описание: отсутствует
Url     : http://weborto.net:8080/pipermail/ortho/attachments/20090307/94f4dc5f/attachment-0003.jpg 


Подробная информация о списке рассылки Ortho