[Ortho] Постравматическая косорукость

Abdurashid orthoforum на weborto.net
Вс Мар 8 00:31:35 YEKT 2009


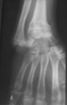
Доброго времени суток уважаемые коллеги! Обратился б-ной 16
лет.Травму получил 9 лет назад, перелом лучевой кости и надмышелковый
перелом плеча. Имеется деформация л/з сустава типа лучевой
косорукости, укорочение п/плечья, отсутствия локтевой девиации,
cubitus varus под углом 25гр. Просит первоначально исправить
деформацию л/з сустава и восстановить длину п/плечья. Наш план-
остеотомия дистального метафиза лучевой кости, коррекция деформации и
удлинение по методу Илизарова. Уважаемые коллеги, помогите советом!
Может быть, есть какие-то нюансы , или другие методы? Снимки
прилагаются.
С уважением Абдурашид.  



----------- следущая часть -----------
Вложение не в текстовом формате было извлечено…
Имя     : PICT0004.JPG
Тип     : image/jpeg
Размер  : 11018 байтов
Описание: отсутствует
Url     : http://weborto.net:8080/pipermail/ortho/attachments/20090308/835bf602/attachment-0005.jpeg 
----------- следущая часть -----------
Вложение не в текстовом формате было извлечено…
Имя     : PICT0005.JPG
Тип     : image/jpeg
Размер  : 12569 байтов
Описание: отсутствует
Url     : http://weborto.net:8080/pipermail/ortho/attachments/20090308/835bf602/attachment-0006.jpeg 
----------- следущая часть -----------
Вложение не в текстовом формате было извлечено…
Имя     : PICT0006.JPG
Тип     : image/jpeg
Размер  : 7982 байтов
Описание: отсутствует
Url     : http://weborto.net:8080/pipermail/ortho/attachments/20090308/835bf602/attachment-0007.jpeg 
----------- следущая часть -----------
Вложение не в текстовом формате было извлечено…
Имя     : PICT0011.JPG
Тип     : image/jpeg
Размер  : 8713 байтов
Описание: отсутствует
Url     : http://weborto.net:8080/pipermail/ortho/attachments/20090308/835bf602/attachment-0008.jpeg 
----------- следущая часть -----------
Вложение не в текстовом формате было извлечено…
Имя     : PICT0012.JPG
Тип     : image/jpeg
Размер  : 3155 байтов
Описание: отсутствует
Url     : http://weborto.net:8080/pipermail/ortho/attachments/20090308/835bf602/attachment-0009.jpeg 


Подробная информация о списке рассылки Ortho