[Ortho] Нестабильность эндопротеза тазоберденного сустава. Ревизия

Евгений orthoforum на weborto.net
Вт Мар 10 20:50:34 YEKT 2009


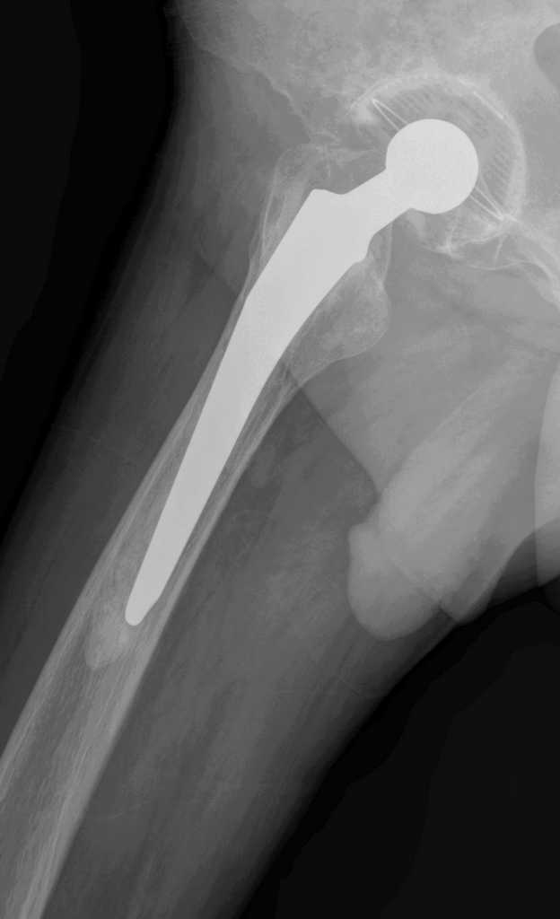
Уважаемые коллеги. Прошу оценить Р-граммы больного после протезирования т\б суставов.
 Больной М.,75л. Страдает коксартрозом. В 2005 справа и в 2007 г. слева эндопротезирование т\б суставов.
 Через полгода после операции появилась боль в правой паховой области, правом бедре(средней и верхней третях)при движениях и особенно осевой нагрузке на правую ногу.
 Неоднократно Р графия т\б суставов, сцинтиграфия костей скелета без четких данных,с нашей точки зрения, за нестабильность комопнентов протеза справа.
 Оцените пожалуйста предстваленные Р граммы, имеются ли на них признаки нестабильности?
Евгений
----------- следущая часть -----------
Вложение не в текстовом формате было извлечено…
Имя     : Маляров07.jpg
Тип     : image/jpeg
Размер  : 18105 байтов
Описание: отсутствует
Url     : http://weborto.net:8080/pipermail/ortho/attachments/20090310/769bbb7c/attachment-0002.jpg 
----------- следущая часть -----------
Вложение не в текстовом формате было извлечено…
Имя     : Маляров2007.jpg
Тип     : image/jpeg
Размер  : 41514 байтов
Описание: отсутствует
Url     : http://weborto.net:8080/pipermail/ortho/attachments/20090310/769bbb7c/attachment-0003.jpg 


Подробная информация о списке рассылки Ortho