[Ortho] Сломаный блокирующий винт

ANDREW orthoforum на weborto.net
Ср Мар 18 19:00:56 YEKT 2009


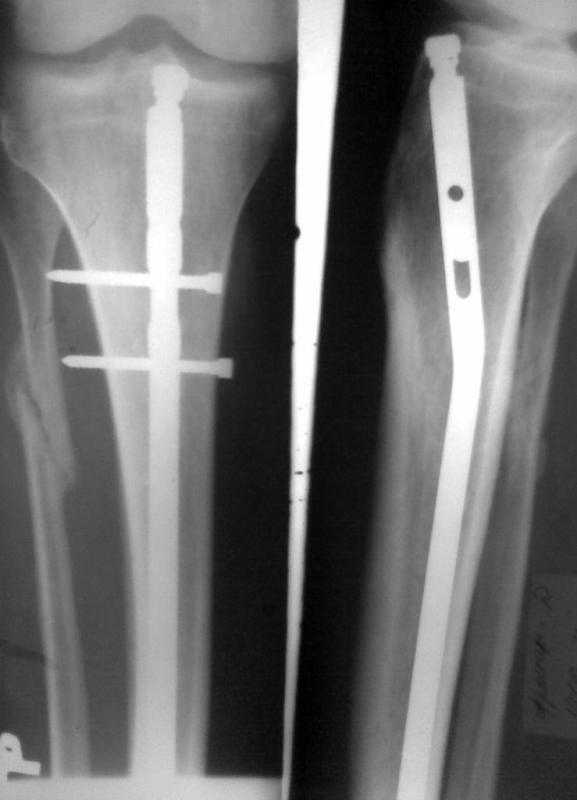
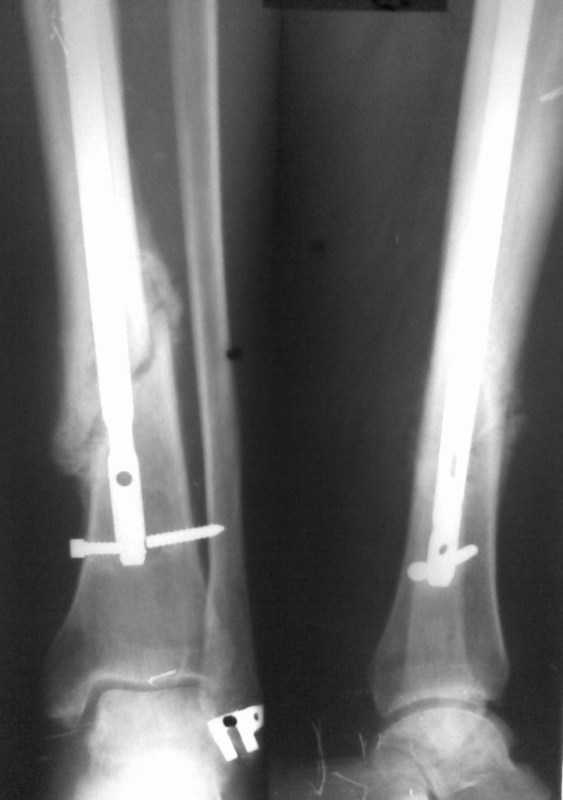
Больному произведено ОМС перелома голени блокирующим стежнем 2 мес. назад. Через 1 мес
больной начал наступать на ногу. В результате такая картина. Удален сломаный конец винта.
Интересует вопрос о дальнейшей тактике лечения. Кто может посоветовать как дальше
поступить. Оставить все как есть и приступать на ногу, провести замену стержня на другой или
поступить как-то иначе. Спасибо за советы и предложения
ANDREW

----------- УМЕДХЭБС ЮБУФШ -----------
Вложение не в текстовом формате было извлечено…
Имя     : image003.jpg
Тип     : image/jpeg
Размер  : 24603 байтов
Описание: отсутствует
Url     : http://weborto.net:8080/pipermail/ortho/attachments/20090318/8d58bb21/attachment-0002.jpg 
----------- УМЕДХЭБС ЮБУФШ -----------
Вложение не в текстовом формате было извлечено…
Имя     : image001.jpg
Тип     : image/jpeg
Размер  : 31626 байтов
Описание: отсутствует
Url     : http://weborto.net:8080/pipermail/ortho/attachments/20090318/8d58bb21/attachment-0003.jpg 


Подробная информация о списке рассылки Ortho