[Ortho] Спицевой остеомиелит

Александр Ситник orthoforum на weborto.net
Вс Мар 22 10:47:18 YEKT 2009


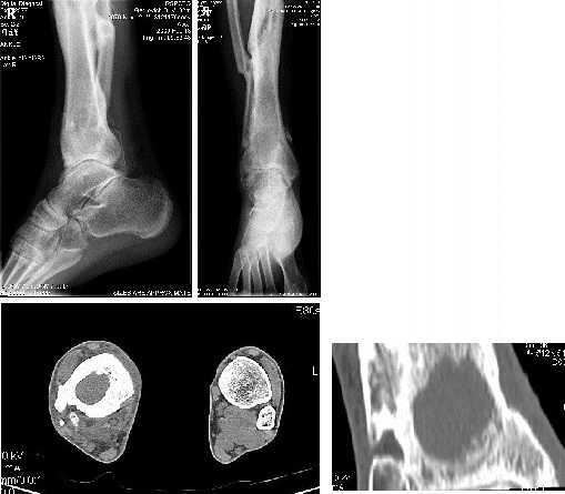
У пациента 31 года после ВКДО голени по Илизарову хронический остеомиелит дистального отела большеберцовой кости.

Пацент лечится у нас с 2005 года когда по поводу несращения с/3 голени был применен ВКДО по Илизарову. Достигнута консолидация, аппарат демонтирован. Через 2 года после сниятия аппарата появился свищ над внутренней лодыжкой. Осенью 2007 года - ФНЭ, аутопластика дефекта метафиза аутоспонгиозой из проксимального отдела большеберцовой кости - в течение года ремиссия.
В ноябре-декабре 2008 вновь открылся свищ, произведена хирургическая обработка, в настоящее время скудное серозное отделяемое. Конечность полностью опорна, болей нет.

Вопрос: чем лучше заполнить дефект метафиза: губкой из крыла подвздошной кости или каким-либо заменителем (хотя инфицирование остается)?

Спасибо,

Александр Ситник
----------- следущая часть -----------
Вложение не в текстовом формате было извлечено…
Имя     : Geril.jpg
Тип     : image/jpeg
Размер  : 25128 байтов
Описание: отсутствует
Url     : http://weborto.net:8080/pipermail/ortho/attachments/20090322/036c9742/attachment-0001.jpg 


Подробная информация о списке рассылки Ortho