[Ortho] Pathologic Femur Fracture

Djoldas Kuldjanov orthoforum на weborto.net
Ср Мар 25 22:36:14 YEKT 2009


Уважаемые коллеги,
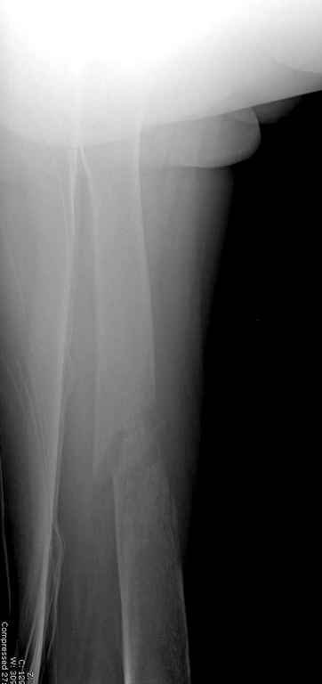
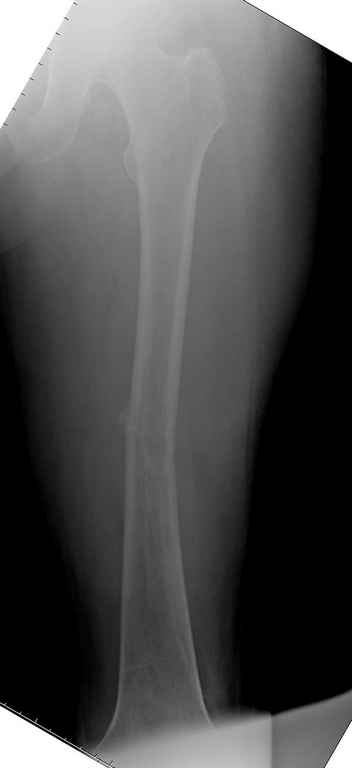
Здесь случай 66 летней пациентки со спонтанными болями в левой нижней
конечности, обратилась в приемное, сделаны снимки бедра и КТ.


Патологический перелом бедра, конечность на вытяжении.
 

Без определения характера и первоисточника опухоли стоит ли провести
остеосинтез? Рекомендации по вариантам остеосинтеза? 

Djoldas Kuldjanov, MD
Department of Orthopedic Surgery
St. Louis University Medical Center

----------- следущая часть -----------
Вложение не в текстовом формате было извлечено…
Имя     : Pathologic Femur CT 1.jpg
Тип     : image/jpeg
Размер  : 24894 байтов
Описание: отсутствует
Url     : http://weborto.net:8080/pipermail/ortho/attachments/20090325/91a852fb/attachment-0004.jpg 
----------- следущая часть -----------
Вложение не в текстовом формате было извлечено…
Имя     : Pathologic Femur CT 2.jpg
Тип     : image/jpeg
Размер  : 29256 байтов
Описание: отсутствует
Url     : http://weborto.net:8080/pipermail/ortho/attachments/20090325/91a852fb/attachment-0005.jpg 
----------- следущая часть -----------
Вложение не в текстовом формате было извлечено…
Имя     : Pathologic Femur injury AP.jpg
Тип     : image/jpeg
Размер  : 15973 байтов
Описание: отсутствует
Url     : http://weborto.net:8080/pipermail/ortho/attachments/20090325/91a852fb/attachment-0006.jpg 
----------- следущая часть -----------
Вложение не в текстовом формате было извлечено…
Имя     : Pathologic Femur injury lat.jpg
Тип     : image/jpeg
Размер  : 15605 байтов
Описание: отсутствует
Url     : http://weborto.net:8080/pipermail/ortho/attachments/20090325/91a852fb/attachment-0007.jpg 


Подробная информация о списке рассылки Ortho