[Ortho] Комбинированная контрактура кисти

Юрий Алексеевич Булахтин orthoforum на weborto.net
Вс Мар 29 09:59:03 YEKST 2009


    Уважаемые коллеги!
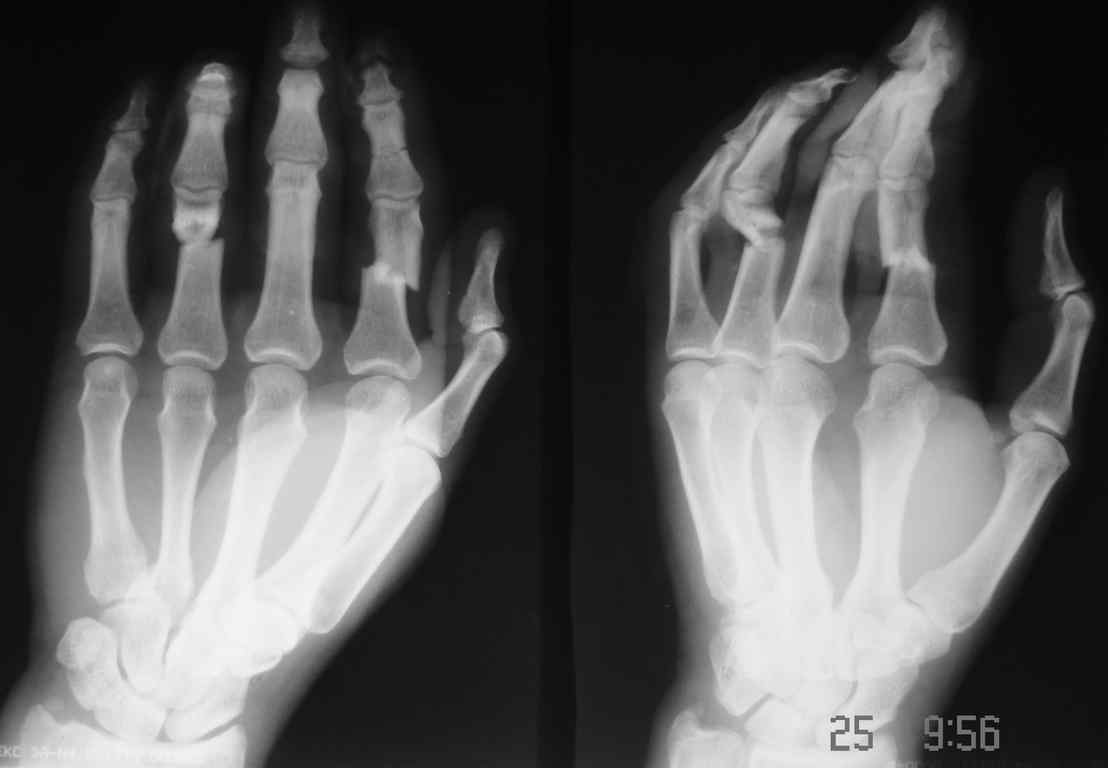
Обратился больной с контрактурой 2-4 пальцев кисти. Травма год назад - рука попала в шнек. Планируется оперативное лечение. Имеет-ли кто опыт укорачивающих остеотомий фаланг пальцев в подобных случаях?

 Юрий Алексеевич Булахтин,
главный травматолог Камчатского Военно-морского госпиталя
----------- следущая часть -----------
Вложение не в текстовом формате было извлечено…
Имя     : 2.JPG
Тип     : image/jpeg
Размер  : 35851 байтов
Описание: отсутствует
Url     : http://weborto.net:8080/pipermail/ortho/attachments/20090329/875962f0/attachment-0004.jpeg 
----------- следущая часть -----------
Вложение не в текстовом формате было извлечено…
Имя     : 3.JPG
Тип     : image/jpeg
Размер  : 6459 байтов
Описание: отсутствует
Url     : http://weborto.net:8080/pipermail/ortho/attachments/20090329/875962f0/attachment-0005.jpeg 
----------- следущая часть -----------
Вложение не в текстовом формате было извлечено…
Имя     : 4.JPG
Тип     : image/jpeg
Размер  : 26113 байтов
Описание: отсутствует
Url     : http://weborto.net:8080/pipermail/ortho/attachments/20090329/875962f0/attachment-0006.jpeg 
----------- следущая часть -----------
Вложение не в текстовом формате было извлечено…
Имя     : 5.JPG
Тип     : image/jpeg
Размер  : 12666 байтов
Описание: отсутствует
Url     : http://weborto.net:8080/pipermail/ortho/attachments/20090329/875962f0/attachment-0007.jpeg 


Подробная информация о списке рассылки Ortho