[Ortho] Свободные осколки и штифтование

Юрий Алексеевич Булахтин orthoforum на weborto.net
Вс Мар 29 20:55:41 YEKST 2009


   Уважаемые коллеги!
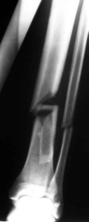
 Хотел-бы услышать Ваше мнение по поводу того, кто как относится к
 наличию свободных осколков в линии перелома и чем при этом
 руководствуется - размер, локализация, возраст и т.д.

 Консультировал рентгенограммы после интрамедуллярного остеосинтеза
 бедра гвоздем Fixion. Пациенту объяснили, что важнее сохранить
 перелом "закрытым", чем  фиксировать осколок из дополнительного
 разреза. Сами собираемся оперировать голень и думаем, что без
 "открытия" места перелома не обойтись.

 Юрий Алексеевич Булахтин, главный травматолог Камчатского
 Военно-морского госпиталя  
----------- следущая часть -----------
Вложение не в текстовом формате было извлечено…
Имя     : 1.jpg
Тип     : image/jpeg
Размер  : 8632 байтов
Описание: отсутствует
Url     : http://weborto.net:8080/pipermail/ortho/attachments/20090329/d9aa7230/attachment-0006.jpg 
----------- следущая часть -----------
Вложение не в текстовом формате было извлечено…
Имя     : 2.jpg
Тип     : image/jpeg
Размер  : 16071 байтов
Описание: отсутствует
Url     : http://weborto.net:8080/pipermail/ortho/attachments/20090329/d9aa7230/attachment-0007.jpg 
----------- следущая часть -----------
Вложение не в текстовом формате было извлечено…
Имя     : 3.jpg
Тип     : image/jpeg
Размер  : 14640 байтов
Описание: отсутствует
Url     : http://weborto.net:8080/pipermail/ortho/attachments/20090329/d9aa7230/attachment-0008.jpg 
----------- следущая часть -----------
Вложение не в текстовом формате было извлечено…
Имя     : 4.jpg
Тип     : image/jpeg
Размер  : 11445 байтов
Описание: отсутствует
Url     : http://weborto.net:8080/pipermail/ortho/attachments/20090329/d9aa7230/attachment-0009.jpg 
----------- следущая часть -----------
Вложение не в текстовом формате было извлечено…
Имя     : 5.jpg
Тип     : image/jpeg
Размер  : 8749 байтов
Описание: отсутствует
Url     : http://weborto.net:8080/pipermail/ortho/attachments/20090329/d9aa7230/attachment-0010.jpg 
----------- следущая часть -----------
Вложение не в текстовом формате было извлечено…
Имя     : 6.jpg
Тип     : image/jpeg
Размер  : 6450 байтов
Описание: отсутствует
Url     : http://weborto.net:8080/pipermail/ortho/attachments/20090329/d9aa7230/attachment-0011.jpg 


Подробная информация о списке рассылки Ortho