[Ortho] двойной перелом бедра

Тарас Рокита rokytat на mail.ru
Вс Мар 29 21:03:48 YEKST 2009


Ув.коллеги!
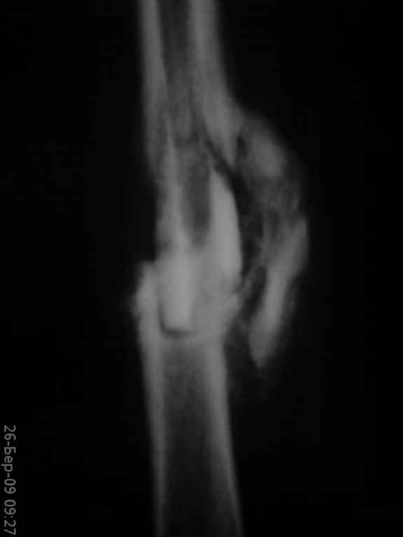
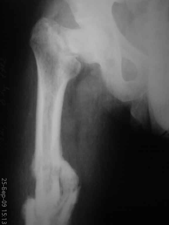
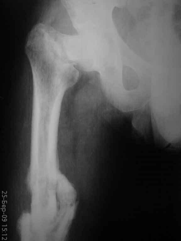
К нам поступил больной,26 лет,травма 6 месяцев назад(падение с
высоты). Лечился консервативно (вытяжение,гипс) по поводу перелома
бедра, перелом шейки был пропущен.
Объективно:ходит с помощью костылей, нога не опорная.Укорочение
приблизительно 6 см, жалуется на умеренные боли при нагрузке в паху и
с/3 бедра.
Ренгенснимки прилагаются(за качество не обессудьте); на КТ с/3 бедра
- формирующийся тугой ложный сустав (извините,не смог представить),
КТ шейки не делали.  
Прошу совета в выборе тактики лечения.

С уважением, Тарас Рокита, Киевская гор.больница   7
----------- следущая часть -----------
Вложение не в текстовом формате было извлечено…
Имя     : DSC00449.JPG
Тип     : image/jpeg
Размер  : 12785 байтов
Описание: отсутствует
Url     : http://weborto.net:8080/pipermail/ortho/attachments/20090329/dbbd3c7a/attachment-0005.jpeg 
----------- следущая часть -----------
Вложение не в текстовом формате было извлечено…
Имя     : DSC00450.JPG
Тип     : image/jpeg
Размер  : 12025 байтов
Описание: отсутствует
Url     : http://weborto.net:8080/pipermail/ortho/attachments/20090329/dbbd3c7a/attachment-0006.jpeg 
----------- следущая часть -----------
Вложение не в текстовом формате было извлечено…
Имя     : DSC00451.JPG
Тип     : image/jpeg
Размер  : 10051 байтов
Описание: отсутствует
Url     : http://weborto.net:8080/pipermail/ortho/attachments/20090329/dbbd3c7a/attachment-0007.jpeg 
----------- следущая часть -----------
Вложение не в текстовом формате было извлечено…
Имя     : DSC00452.JPG
Тип     : image/jpeg
Размер  : 10953 байтов
Описание: отсутствует
Url     : http://weborto.net:8080/pipermail/ortho/attachments/20090329/dbbd3c7a/attachment-0008.jpeg 
----------- следущая часть -----------
Вложение не в текстовом формате было извлечено…
Имя     : DSC00454.JPG
Тип     : image/jpeg
Размер  : 14973 байтов
Описание: отсутствует
Url     : http://weborto.net:8080/pipermail/ortho/attachments/20090329/dbbd3c7a/attachment-0009.jpeg 


Подробная информация о списке рассылки Ortho