[Ortho] Ложный сустав в/3 плечевой кости!

Ivan Petrov orthoforum на weborto.net
Сб Май 2 00:35:53 YEKST 2009


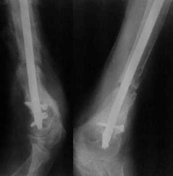
Более года назад пациент был оперирован в одном из НИИТО. При
контрольном осмотре через год: болевой синдром, контрактура в
локтевом суставе, патологическая подвижность нижней трети плеча

Ivan Petrov
----------- УМЕДХЭБС ЮБУФШ -----------
Вложение не в текстовом формате было извлечено…
Имя     : 1-1.jpg
Тип     : image/jpeg
Размер  : 8807 байтов
Описание: отсутствует
Url     : http://weborto.net:8080/pipermail/ortho/attachments/20090502/3d0969bd/attachment.jpg 


Подробная информация о списке рассылки Ortho