[Ortho] Ложный сустав в/3 плечевой кости!

Ivan Petrov orthoforum на weborto.net
Сб Май 2 00:38:17 YEKST 2009


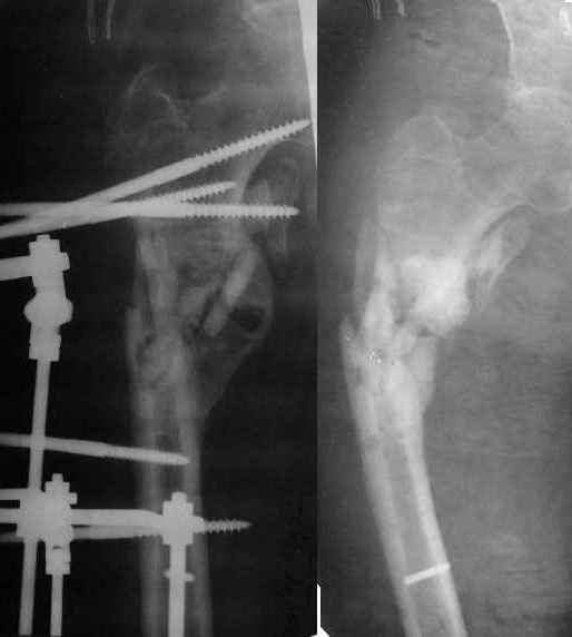
Неудачный остеосинтез пластиной: поломка винтов. После удаления
сформирался гиполастический ложный сустав. Остеосинтез АВФ,
циклическая компрессия-дистракция в области ложного сустава привела к
формированию хорошей рентгенологической костной мозоли. Через 1,5
месяца ходил в аппарате без дополнительных средств опоры. Через 6
месяцев после клинической пробы - демотаж. Через 4 месяца после
демонтажа - лизис костной мозоли, рецидив деформации.
Ivan Petrov
----------- УМЕДХЭБС ЮБУФШ -----------
Вложение не в текстовом формате было извлечено…
Имя     : 1-3.jpg
Тип     : image/jpeg
Размер  : 30942 байтов
Описание: отсутствует
Url     : http://weborto.net:8080/pipermail/ortho/attachments/20090502/b5080b9b/attachment-0001.jpg 


Подробная информация о списке рассылки Ortho