[Ortho] Асептический некроз таранной кости.

Троицкий Владимир orthoforum на weborto.net
Сб Май 2 00:39:26 YEKST 2009


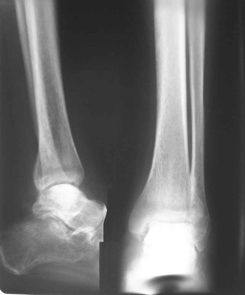
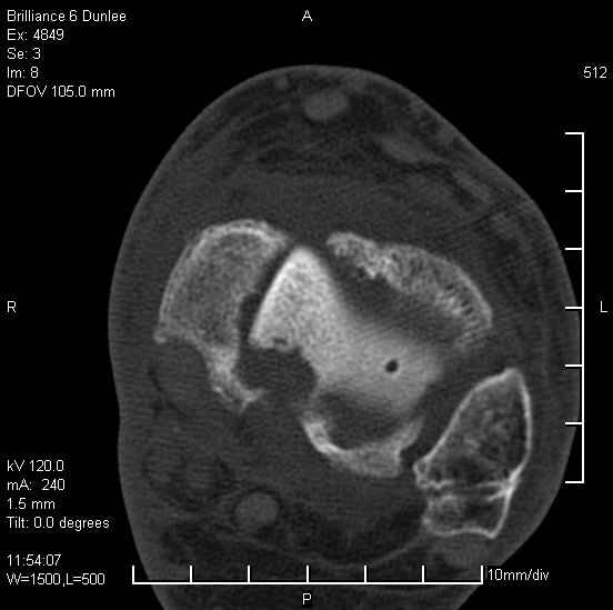
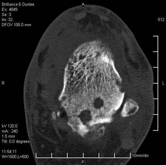
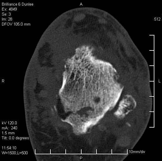
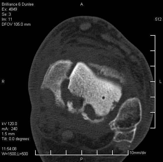
На лечении находится пациент 35 лет. Травма в сентябре 2008 г.- открытый вывих таранной кости

В день травмы ПХО, вправление вывиха, трансартикулярная фиксация. Рана зажила первично. С января нагрузка на конечность. С конца апреля- болевой синдром. На рентгенограммах и КТ признаки ас. некроза таранной кости, артроз подтаранного и голеностопного суставов.
Функциональные требования пациента достаточно высокие. 
В связи с этим, с учётом предыдущих обсуждений на форуме, имеется ряд вопросов.
1. Целесообразность формирования подтаранного артродеза (реваскуляризация таранной кости) с «разгрузкой» таранно-большеберцового сустава в условиях АВФ. 
2. Первичное эндопротезирование голеностопного сустава. Сроки, тип эндопротеза.
3. Альтернативные варианты.
Заранее благодарен за все советы и ответы.  

Троицкий Владимир
----------- УМЕДХЭБС ЮБУФШ -----------
Вложение не в текстовом формате было извлечено…
Имя     : IMG_01.jpg
Тип     : image/jpeg
Размер  : 24728 байтов
Описание: отсутствует
Url     : http://weborto.net:8080/pipermail/ortho/attachments/20090502/5f5bd3a6/attachment-0015.jpg 
----------- УМЕДХЭБС ЮБУФШ -----------
Вложение не в текстовом формате было извлечено…
Имя     : IMG_02.jpg
Тип     : image/jpeg
Размер  : 19008 байтов
Описание: отсутствует
Url     : http://weborto.net:8080/pipermail/ortho/attachments/20090502/5f5bd3a6/attachment-0016.jpg 
----------- УМЕДХЭБС ЮБУФШ -----------
Вложение не в текстовом формате было извлечено…
Имя     : IMG_03.jpg
Тип     : image/jpeg
Размер  : 20583 байтов
Описание: отсутствует
Url     : http://weborto.net:8080/pipermail/ortho/attachments/20090502/5f5bd3a6/attachment-0017.jpg 
----------- УМЕДХЭБС ЮБУФШ -----------
Вложение не в текстовом формате было извлечено…
Имя     : IMG_04.jpg
Тип     : image/jpeg
Размер  : 19864 байтов
Описание: отсутствует
Url     : http://weborto.net:8080/pipermail/ortho/attachments/20090502/5f5bd3a6/attachment-0018.jpg 
----------- УМЕДХЭБС ЮБУФШ -----------
Вложение не в текстовом формате было извлечено…
Имя     : IMG_05.jpg
Тип     : image/jpeg
Размер  : 19873 байтов
Описание: отсутствует
Url     : http://weborto.net:8080/pipermail/ortho/attachments/20090502/5f5bd3a6/attachment-0019.jpg 
----------- УМЕДХЭБС ЮБУФШ -----------
Вложение не в текстовом формате было извлечено…
Имя     : IMG_06.jpg
Тип     : image/jpeg
Размер  : 20170 байтов
Описание: отсутствует
Url     : http://weborto.net:8080/pipermail/ortho/attachments/20090502/5f5bd3a6/attachment-0020.jpg 
----------- УМЕДХЭБС ЮБУФШ -----------
Вложение не в текстовом формате было извлечено…
Имя     : IMG_07.jpg
Тип     : image/jpeg
Размер  : 20438 байтов
Описание: отсутствует
Url     : http://weborto.net:8080/pipermail/ortho/attachments/20090502/5f5bd3a6/attachment-0021.jpg 
----------- УМЕДХЭБС ЮБУФШ -----------
Вложение не в текстовом формате было извлечено…
Имя     : IMG_08.jpg
Тип     : image/jpeg
Размер  : 20391 байтов
Описание: отсутствует
Url     : http://weborto.net:8080/pipermail/ortho/attachments/20090502/5f5bd3a6/attachment-0022.jpg 
----------- УМЕДХЭБС ЮБУФШ -----------
Вложение не в текстовом формате было извлечено…
Имя     : IMG_09.jpg
Тип     : image/jpeg
Размер  : 21033 байтов
Описание: отсутствует
Url     : http://weborto.net:8080/pipermail/ortho/attachments/20090502/5f5bd3a6/attachment-0023.jpg 
----------- УМЕДХЭБС ЮБУФШ -----------
Вложение не в текстовом формате было извлечено…
Имя     : IMG_10.jpg
Тип     : image/jpeg
Размер  : 20949 байтов
Описание: отсутствует
Url     : http://weborto.net:8080/pipermail/ortho/attachments/20090502/5f5bd3a6/attachment-0024.jpg 
----------- УМЕДХЭБС ЮБУФШ -----------
Вложение не в текстовом формате было извлечено…
Имя     : IMG_11.jpg
Тип     : image/jpeg
Размер  : 21406 байтов
Описание: отсутствует
Url     : http://weborto.net:8080/pipermail/ortho/attachments/20090502/5f5bd3a6/attachment-0025.jpg 
----------- УМЕДХЭБС ЮБУФШ -----------
Вложение не в текстовом формате было извлечено…
Имя     : IMG_12.jpg
Тип     : image/jpeg
Размер  : 21842 байтов
Описание: отсутствует
Url     : http://weborto.net:8080/pipermail/ortho/attachments/20090502/5f5bd3a6/attachment-0026.jpg 
----------- УМЕДХЭБС ЮБУФШ -----------
Вложение не в текстовом формате было извлечено…
Имя     : IMG_13.jpg
Тип     : image/jpeg
Размер  : 22337 байтов
Описание: отсутствует
Url     : http://weborto.net:8080/pipermail/ortho/attachments/20090502/5f5bd3a6/attachment-0027.jpg 
----------- УМЕДХЭБС ЮБУФШ -----------
Вложение не в текстовом формате было извлечено…
Имя     : IMG_14.jpg
Тип     : image/jpeg
Размер  : 22946 байтов
Описание: отсутствует
Url     : http://weborto.net:8080/pipermail/ortho/attachments/20090502/5f5bd3a6/attachment-0028.jpg 
----------- УМЕДХЭБС ЮБУФШ -----------
Вложение не в текстовом формате было извлечено…
Имя     : IMG_15.jpg
Тип     : image/jpeg
Размер  : 22066 байтов
Описание: отсутствует
Url     : http://weborto.net:8080/pipermail/ortho/attachments/20090502/5f5bd3a6/attachment-0029.jpg 


Подробная информация о списке рассылки Ortho