[Ortho] СКОЛИОЗ

МАКСИМ АЛЕКСАНДРОВИЧ orthoforum на weborto.net
Ср Май 6 23:04:36 YEKST 2009


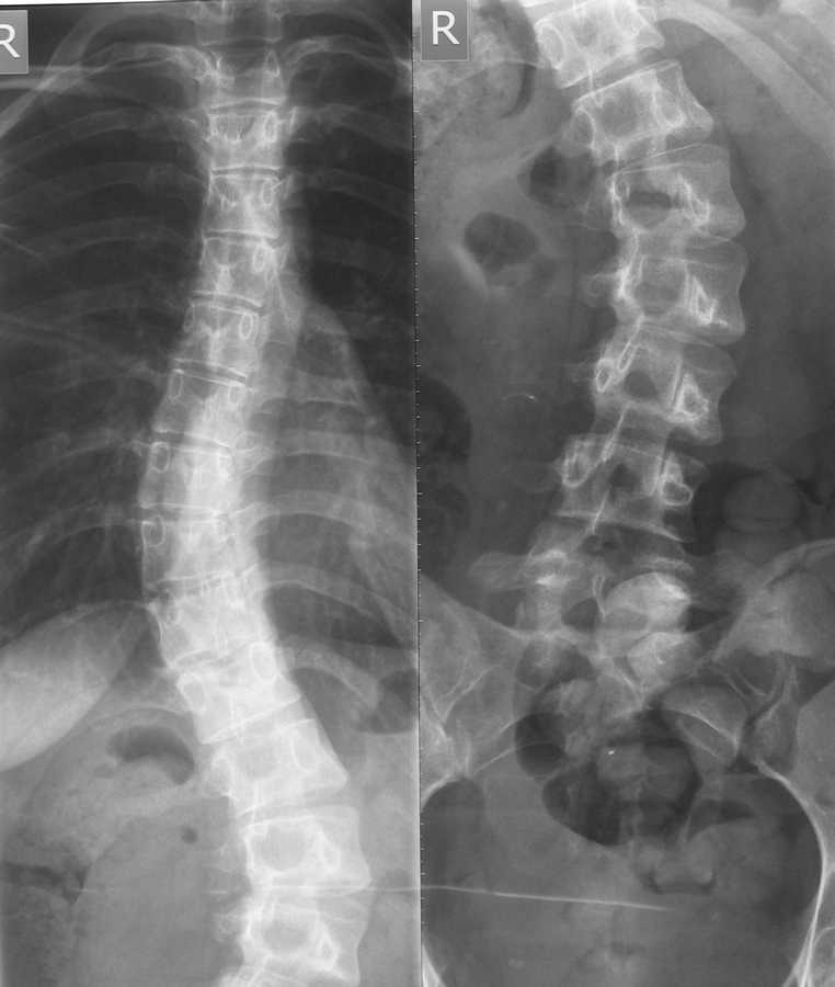
Здравствуйте уважаемые коллеги. Помогите разобраться в ситуации. Девушка 22 года, впервые выявлен сколиоз около 5 лет назад. Получала несколько раз курс
консервативного лечения. На данный момент ситуация видна на представленном
снимке. Клинически проявляется только в косметическом дефекте, боли не беспокоят. имеет ли смысл устранять косметический дефект хирургически,если - да, то на какой базе?

Максим Александрович
----------- УМЕДХЭБС ЮБУФШ -----------
Вложение не в текстовом формате было извлечено…
Имя     : IMG_2086.JPG
Тип     : image/jpeg
Размер  : 43835 байтов
Описание: отсутствует
Url     : http://weborto.net:8080/pipermail/ortho/attachments/20090506/3815190c/attachment-0001.jpeg 


Подробная информация о списке рассылки Ortho